别名:Protein LSM14 homolog A, Protein FAM61A, Protein SCD6 homolog, Putative alpha-synuclein-binding protein, AlphaSNBP, RNA-associated protein 55A, hRAP55, hRAP55A, LSM14A, C19orf13, FAM61A, RAP55, RAP55A应用:WB,IHC
反应种属:Human
规格:50μl/100μl
| Description |
|---|
| Sm-like proteins were identified in a variety of organisms based on sequence homology with the Sm protein family (see SNRPD2; 601061). Sm-like proteins contain the Sm sequence motif, which consists of 2 regions separated by a linker of variable length that folds as a loop. The Sm-like proteins are thought to form a stable heteromer present in tri-snRNP particles, which are important for pre-mRNA splicing. |
| Specification | |
|---|---|
| Aliases | Protein LSM14 homolog A, Protein FAM61A, Protein SCD6 homolog, Putative alpha-synuclein-binding protein, AlphaSNBP, RNA-associated protein 55A, hRAP55, hRAP55A, LSM14A, C19orf13, FAM61A, RAP55, RAP55A |
| Entrez GeneID | 26065 |
| Swissprot | Q8ND56 |
| WB Predicted band size | 50.5kDa |
| Host/Isotype | Rabbit IgG |
| Storage | Store at 4°C short term. Aliquot and store at -20°C long term. Avoid freeze/thaw cycles. |
| Species Reactivity | Human |
| Immunogen | This LSM14A antibody is generated from rabbits immunized with a KLH conjugated synthetic peptide between 311-340 amino acids from the C-terminal region of human LSM14A. |
| Formulation | Purified polyclonal antibody supplied in PBS with 0.05% sodium azide. This antibody is purified through a protein A column, followed by peptide affinity purification. |
| Application | |
|---|---|
| WB | 1/1000 |
| IHC | 1/100-1/500 |
![]() |
LSM14A Antibody (C-term) (Cat. #P31522) western blot analysis in A549 cell line lysates (35ug/lane).This demonstrates the LSM14A antibody detected the LSM14A protein (arrow). |
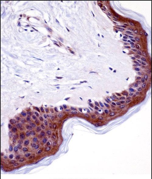
![]() |
LSM14A Antibody (C-term) (P31522)immunohistochemistry analysis in formalin fixed and paraffin embedded human skin tissue followed by peroxidase conjugation of the secondary antibody and DAB staining.This data demonstrates the use of LSM14A Antibody (C-term) for immunohistochemistry. Clinical relevance has not been evaluated. |
本公司的所有产品仅用于科学研究或者工业应用等非医疗目的,不可用于人类或动物的临床诊断或治疗,非药用,非食用。
暂无评论
本公司的所有产品仅用于科学研究或者工业应用等非医疗目的,不可用于人类或动物的临床诊断或治疗,非药用,非食用。
中文


发表回复