别名:U6 snRNA-associated Sm-like protein LSm2, Protein G7b, Small nuclear ribonuclear protein D homolog, snRNP core Sm-like protein Sm-x5, LSM2, C6orf28, G7B应用:WB,IHC
反应种属:Human, Mouse
规格:50μl/100μl
| Description |
|---|
| Binds specifically to the 3′-terminal U-tract of U6 snRNA. May be involved in pre-mRNA splicing. |
| Specification | |
|---|---|
| Aliases | U6 snRNA-associated Sm-like protein LSm2, Protein G7b, Small nuclear ribonuclear protein D homolog, snRNP core Sm-like protein Sm-x5, LSM2, C6orf28, G7B |
| Entrez GeneID | 57819 |
| Swissprot | Q9Y333 |
| WB Predicted band size | 10.8kDa |
| Host/Isotype | Rabbit IgG |
| Storage | Store at 4°C short term. Aliquot and store at -20°C long term. Avoid freeze/thaw cycles. |
| Species Reactivity | Human, Mouse |
| Immunogen | This LSM2 antibody is generated from a rabbit immunized with a KLH conjugated synthetic peptide between 55-89 amino acids from human LSM2. |
| Application | |
|---|---|
| WB | 1/2000 |
| IHC | 1/100-1/500 |
![]() |
All lanes : Anti-LSM2 Antibody (C-Term) at 1:2000 dilution Lane 1: 293T/17 whole cell lysate Lane 2: Hela whole cell lysate Lane 3: K562 whole cell lysate Lane 4: MCF-7 whole cell lysate Lane 5: NIH/3T3 whole cell lysate Lysates/proteins at 20 µg per lane. Secondary Predicted band size : 11 kDa Blocking/Dilution buffer: 5% NFDM/TBST. |
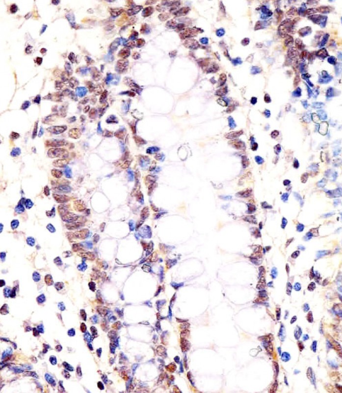
![]() |
P33377 staining LSM2 in human colon tissue sections by Immunohistochemistry (IHC-P – paraformaldehyde-fixed, paraffin-embedded sections). Tissue was fixed with formaldehyde and blocked with 3% BSA for 0. 5 hour at room temperature; antigen retrieval was by heat mediation with a citrate buffer (pH6). Samples were incubated with primary antibody (1/25) for 1 hours at 37°C. A undiluted biotinylated goat polyvalent antibody was used as the secondary antibody. |
本公司的所有产品仅用于科学研究或者工业应用等非医疗目的,不可用于人类或动物的临床诊断或治疗,非药用,非食用。
暂无评论
本公司的所有产品仅用于科学研究或者工业应用等非医疗目的,不可用于人类或动物的临床诊断或治疗,非药用,非食用。
中文


发表回复