别名:LT; TNFB; TNFSF1应用:IHC
反应种属:Human
规格:50μl/100μl
| Description |
|---|
| The encoded protein, a member of the tumor necrosis factor family, is a cytokine produced by lymphocytes. The protein is highly inducible, secreted, and forms heterotrimers with lymphotoxin-beta which anchor lymphotoxin-alpha to the cell surface. This protein also mediates a large variety of inflammatory, immunostimulatory, and antiviral responses, is involved in the formation of secondary lymphoid organs during development and plays a role in apoptosis. Genetic variations in this gene are associated with susceptibility to leprosy type 4, myocardial infarction, non-Hodgkin’s lymphoma, and psoriatic arthritis. Alternatively spliced transcript variants have been observed for this gene. |
| Specification | |
|---|---|
| Aliases | LT; TNFB; TNFSF1 |
| Entrez GeneID | 4049; |
| Swissprot | P01374 |
| Storage | Store at 4°C short term. Aliquot and store at -20°C long term. Avoid freeze/thaw cycles. |
| Species Reactivity | Human |
| Immunogen | Fusion protein corresponding to a region derived from internal residues of human lymphotoxin alpha (TNF superfamily, member 1) |
| Formulation | Rabbit IgG in pH7.4 PBS, 0.05% NaN3, 40% Glycerol. |
| Application | |
|---|---|
| IHC | 1/50-1/200 |
![]() |
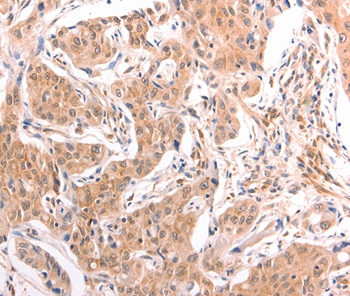
Immunohistochemical analysis of paraffin-embedded Human colon cancer tissue using P42789 at dilution 1/50. |
![]() |
Immunohistochemical analysis of paraffin-embedded Human lung cancer tissue using P42789 at dilution 1/50. |
本公司的所有产品仅用于科学研究或者工业应用等非医疗目的,不可用于人类或动物的临床诊断或治疗,非药用,非食用。
暂无评论
本公司的所有产品仅用于科学研究或者工业应用等非医疗目的,不可用于人类或动物的临床诊断或治疗,非药用,非食用。
中文


发表回复