别名:BLT2; NOP9; BLTR2; JULF2; KPG_004; LTB4-R2; LTB4-R 2应用:WB,IHC
反应种属:Human, Mouse, Rat
规格:50μl/100μl
| Description |
|---|
| Predicted to enable G protein-coupled peptide receptor activity and leukotriene B4 receptor activity. Predicted to be involved in inflammatory response and neuropeptide signaling pathway. Predicted to act upstream of or within keratinocyte migration and signal transduction. Located in nucleoplasm and plasma membrane. |
| Specification | |
|---|---|
| Aliases | BLT2; NOP9; BLTR2; JULF2; KPG_004; LTB4-R2; LTB4-R 2 |
| Swissprot | Q9NPC1 |
| WB Predicted band size | 38 kDa |
| Host/Isotype | Rabbit IgG |
| Storage | Store at 4°C short term. Aliquot and store at -20°C long term. Avoid freeze/thaw cycles. |
| Species Reactivity | Human, Mouse, Rat |
| Immunogen | Synthetic peptide of human LTB4R2 |
| Formulation | pH7.4 PBS, 0.05% NaN3, 40% Glycerol |
| Application | |
|---|---|
| WB | 1/500-1/2000 |
| IHC | 1/50-1/200 |
| ELISA | 1/5000-1/10000 |
![]() |
Gel: 8%SDS-PAGE, Lysate: 40 μg, Lane 1-4: Mouse fetal brain tissue, Rat liver tissue, Mouse liver tissue, Mouse brain tissue lysates, Primary antibody: P11914(LTB4R2 Antibody) at dilution 1/600, Secondary antibody: Goat anti rabbit IgG at 1/5000 dilution, Exposure time: 20 seconds |
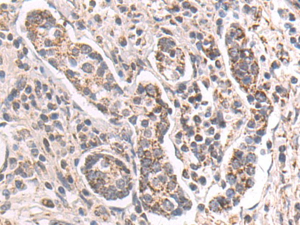
![]() |
The image is immunohistochemistry of paraffin-embedded Human colorectal cancer tissue using P11914(LTB4R2 Antibody) at dilution 1/50. (Original magnification: ×200) |
![]() |
The image is immunohistochemistry of paraffin-embedded Human gastric cancer tissue using P11914(LTB4R2 Antibody) at dilution 1/50. (Original magnification: ×200) |
本公司的所有产品仅用于科学研究或者工业应用等非医疗目的,不可用于人类或动物的临床诊断或治疗,非药用,非食用。
暂无评论
本公司的所有产品仅用于科学研究或者工业应用等非医疗目的,不可用于人类或动物的临床诊断或治疗,非药用,非食用。
中文



发表回复