别名:ARCL1C; LTBP-4; LTBP4L; LTBP4S应用:IHC
反应种属:Human, Mouse
规格:50μl/100μl
| Description |
|---|
| The protein encoded by this gene binds transforming growth factor beta (TGFB) as it is secreted and targeted to the extracellular matrix. TGFB is biologically latent after secretion and insertion into the extracellular matrix, and sheds TGFB and other proteins upon activation. Defects in this gene may be a cause of cutis laxa and severe pulmonary, gastrointestinal, and urinary abnormalities. Three transcript variants encoding different isoforms have been found for this gene. |
| Specification | |
|---|---|
| Aliases | ARCL1C; LTBP-4; LTBP4L; LTBP4S |
| Swissprot | Q8N2S1 |
| Host/Isotype | Rabbit IgG |
| Storage | Store at 4°C short term. Aliquot and store at -20°C long term. Avoid freeze/thaw cycles. |
| Species Reactivity | Human, Mouse |
| Immunogen | Synthetic peptide of human LTBP4 |
| Formulation | pH7.4 PBS, 0.05% NaN3, 40% Glycerol |
| Application | |
|---|---|
| IHC | 1/25-1/100 |
| ELISA | 1/5000-1/10000 |
![]() |
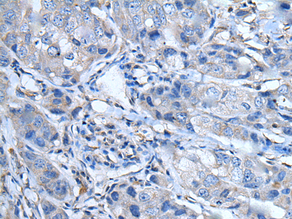
The image is immunohistochemistry of paraffin-embedded Human esophagus cancer tissue using P12823(LTBP4 Antibody) at dilution 1/35. (Original magnification: ×200) |
![]() |
The image is immunohistochemistry of paraffin-embedded Human breast cancer tissue using P12823(LTBP4 Antibody) at dilution 1/35. (Original magnification: ×200) |
本公司的所有产品仅用于科学研究或者工业应用等非医疗目的,不可用于人类或动物的临床诊断或治疗,非药用,非食用。
暂无评论
本公司的所有产品仅用于科学研究或者工业应用等非医疗目的,不可用于人类或动物的临床诊断或治疗,非药用,非食用。
中文


发表回复