别名:LXN; Latexin; Endogenous carboxypeptidase inhibitor; ECI; Protein MUM; Tissue carboxypeptidase inhibitor; TCI应用:WB,IHC
反应种属:Human,Mouse,Rat
规格:50μl/100μl
| Description |
|---|
| Hardly reversible, non-competitive, and potent inhibitor of CPA1, CPA2 and CPA4. |
| Specification | |
|---|---|
| Aliases | LXN; Latexin; Endogenous carboxypeptidase inhibitor; ECI; Protein MUM; Tissue carboxypeptidase inhibitor; TCI |
| Entrez GeneID | 56925 |
| Swissprot | Q9BS40 |
| WB Predicted band size | Calculated MW: 26 kDa; Observed MW: 26 kDa |
| Host/Isotype | Rabbit IgG |
| Storage | Store at 4°C short term. Aliquot and store at -20°C long term. Avoid freeze/thaw cycles. |
| Species Reactivity | Human,Mouse,Rat |
| Immunogen | Synthesized peptide derived from Latexin . at AA range: 90-170 |
| Formulation | Liquid in PBS containing 50% glycerol, 0.5% BSA and 0.02% sodium azide, pH 7.3. |
| Application | |
|---|---|
| WB | 1/500-1/1000 |
| IHC | 1/50-1/100 |
| ELISA | 1/10000 |
![]() |
Western blot analysis of LXN in 22RV MCF-7, OVCAR3, H460, HT-29, BT474, mouse heart lysates using LXN antibody. |
![]() |
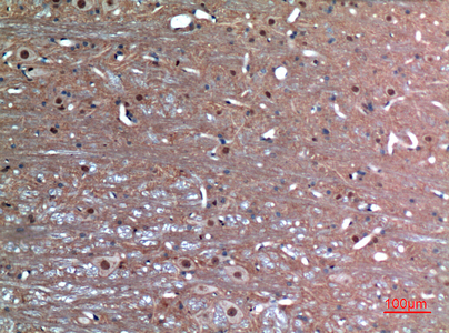
Immunohistochemistry analysis of paraffin-embedded rat brain using LXN antibody.High-pressure and temperature Sodium Citrate pH 6.0 was used for antigen retrieval. |
![]() |
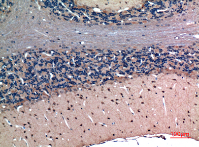
Immunohistochemistry analysis of paraffin-embedded rat brain using LXN antibody. High-pressure and temperature Sodium Citrate pH 6.0 was used for antigen retrieval. |
本公司的所有产品仅用于科学研究或者工业应用等非医疗目的,不可用于人类或动物的临床诊断或治疗,非药用,非食用。
暂无评论
本公司的所有产品仅用于科学研究或者工业应用等非医疗目的,不可用于人类或动物的临床诊断或治疗,非药用,非食用。
中文



发表回复