别名:Lymphocyte antigen 6 complex locus protein G6c, LY6G6C, C6orf24, G6C, NG24应用:WB,IHC
反应种属:Human
规格:50μl/100μl
| Description |
|---|
| LY6G6C belongs to a cluster of leukocyte antigen-6 (LY6) genes located in the major histocompatibility complex (MHC) class III region on chromosome 6. Members of the LY6 superfamily typically contain 70 to 80 amino acids, including 8 to 10 cysteines. Most LY6 proteins are attached to the cell surface by a glycosylphosphatidylinositol (GPI) anchor that is directly involved in signal transduction (Mallya et al., 2002 [PubMed 12079290]). |
| Specification | |
|---|---|
| Aliases | Lymphocyte antigen 6 complex locus protein G6c, LY6G6C, C6orf24, G6C, NG24 |
| Entrez GeneID | 80740 |
| Swissprot | O95867 |
| WB Predicted band size | 13.8kDa |
| Host/Isotype | Rabbit IgG |
| Storage | Store at 4°C short term. Aliquot and store at -20°C long term. Avoid freeze/thaw cycles. |
| Species Reactivity | Human |
| Immunogen | This LY6G6C antibody is generated from rabbits immunized with a KLH conjugated synthetic peptide between 62-90 amino acids from the C-terminal region of human LY6G6C. |
| Formulation | Purified polyclonal antibody supplied in PBS with 0.05% sodium azide. This antibody is purified through a protein A column, followed by peptide affinity purification. |
| Application | |
|---|---|
| WB | 1/1000 |
| IHC | 1/100-1/500 |
![]() |
LY6G6C Antibody (C-term) (Cat. #P30804) western blot analysis in NCI-H292 cell line lysates (35ug/lane).This demonstrates the LY6G6C antibody detected the LY6G6C protein (arrow). |
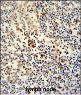
![]() |
LY6G6C antibody (C-term) (Cat. #AP10539b) immunohistochemistry analysis in formalin fixed and paraffin embedded human lymph node followed by peroxidase conjugation of the secondary antibody and DAB staining. This data demonstrates the use of the LY6G6C antibody (C-term) for immunohistochemistry. Clinical relevance has not been evaluated. |
本公司的所有产品仅用于科学研究或者工业应用等非医疗目的,不可用于人类或动物的临床诊断或治疗,非药用,非食用。
暂无评论
本公司的所有产品仅用于科学研究或者工业应用等非医疗目的,不可用于人类或动物的临床诊断或治疗,非药用,非食用。
中文


发表回复