别名:CD205; LY-75; CLEC13B; DEC-205; GP200-MR6应用:IHC
反应种属:Human
规格:50μl/100μl
| Description |
|---|
| Acts as an endocytic receptor to direct captured antigens from the extracellular space to a specialized antigen-processing compartment (By similarity). Causes reduced proliferation of B-lymphocytes. |
| Specification | |
|---|---|
| Aliases | CD205; LY-75; CLEC13B; DEC-205; GP200-MR6 |
| Swissprot | O60449 |
| Host/Isotype | Rabbit IgG |
| Storage | Store at 4°C short term. Aliquot and store at -20°C long term. Avoid freeze/thaw cycles. |
| Species Reactivity | Human |
| Immunogen | Synthetic peptide of human LY75 |
| Formulation | pH7.4 PBS, 0.05% NaN3, 40% Glycerol |
| Application | |
|---|---|
| IHC | 1/50-1/100 |
| ELISA | 1/500-1/1000 |
![]() |
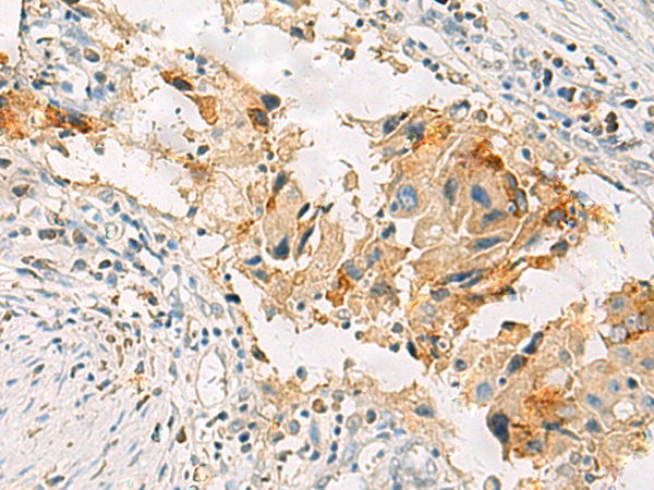
The image is immunohistochemistry of paraffin-embedded Human liver cancer tissue using P03868(LY75 Antibody) at dilution 1/35. (Original magnification: ×200) |
![]() |
The image is immunohistochemistry of paraffin-embedded Human breast cancer tissue using P03868(LY75 Antibody) at dilution 1/35. (Original magnification: ×200) |
本公司的所有产品仅用于科学研究或者工业应用等非医疗目的,不可用于人类或动物的临床诊断或治疗,非药用,非食用。
暂无评论
本公司的所有产品仅用于科学研究或者工业应用等非医疗目的,不可用于人类或动物的临床诊断或治疗,非药用,非食用。
中文


发表回复