别名:Ly6/PLAUR domain-containing protein 1, Putative HeLa tumor suppressor, PHTS, LYPD1, LYPDC1应用:WB,IHC
反应种属:Human, Mouse
规格:50μl/100μl
| Specification | |
|---|---|
| Aliases | Ly6/PLAUR domain-containing protein 1, Putative HeLa tumor suppressor, PHTS, LYPD1, LYPDC1 |
| Entrez GeneID | 116372 |
| Swissprot | Q8N2G4 |
| WB Predicted band size | 15.2kDa |
| Host/Isotype | Rabbit IgG |
| Storage | Store at 4°C short term. Aliquot and store at -20°C long term. Avoid freeze/thaw cycles. |
| Species Reactivity | Human, Mouse |
| Immunogen | This LYPD1 antibody is generated from rabbits immunized with a KLH conjugated synthetic peptide between 93-122 amino acids from the C-terminal region of human LYPD1. |
| Formulation | Purified polyclonal antibody supplied in PBS with 0.05% sodium azide. This antibody is purified through a protein A column, followed by peptide affinity purification. |
| Application | |
|---|---|
| WB | 1/1000 |
| IHC | 1/100-1/500 |
![]() |
Anti-LYPD1 Antibody (C-term) at 1:1000 dilution + SK-OV-3 whole cell lysate
Lysates/proteins at 20 µg per lane. Secondary Predicted band size : 15 kDa Blocking/Dilution buffer: 5% NFDM/TBST. |
![]() |
Western blot analysis of LYPD1 Antibody (C-term) (Cat. #P33454) in mouse kidney tissue lysates (35ug/lane). LYPD1 (arrow) was detected using the purified Pab. |
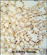
![]() |
LYPD1 Antibody (C-term) (Cat. #P33454) immunohistochemistry analysis in formalin fixed and paraffin embedded mouse kidney tissue followed by peroxidase conjugation of the secondary antibody and DAB staining. This data demonstrates the use of the LYPD1 Antibody (C-term) for immunohistochemistry. Clinical relevance has not been evaluated. |
本公司的所有产品仅用于科学研究或者工业应用等非医疗目的,不可用于人类或动物的临床诊断或治疗,非药用,非食用。
暂无评论
本公司的所有产品仅用于科学研究或者工业应用等非医疗目的,不可用于人类或动物的临床诊断或治疗,非药用,非食用。
中文



发表回复