别名:Lysophospholipase-like protein 1, 312-, LYPLAL1应用:WB,IHC,FCM
反应种属:Human, Mouse
规格:50μl/100μl
| Description |
|---|
| The exact function of this protein remains unknown. |
| Specification | |
|---|---|
| Aliases | Lysophospholipase-like protein 1, 312-, LYPLAL1 |
| Entrez GeneID | 127018 |
| Swissprot | Q5VWZ2 |
| WB Predicted band size | 26.3kDa |
| Host/Isotype | Rabbit IgG |
| Storage | Store at 4°C short term. Aliquot and store at -20°C long term. Avoid freeze/thaw cycles. |
| Species Reactivity | Human, Mouse |
| Immunogen | This LYPL1 antibody is generated from rabbits immunized with a KLH conjugated synthetic peptide between 88-117 amino acids from the Central region of human LYPL1. |
| Formulation | Purified polyclonal antibody supplied in PBS with 0.05% sodium azide. This antibody is purified through a protein A column, followed by peptide affinity purification. |
| Application | |
|---|---|
| WB | 1/1000 |
| IHC | 1/100-1/500 |
| FCM | 1/10-1/50 |
![]() |
LYPL1 Antibody (Center) (Cat. #P31375) western blot analysis in mouse Neuro-2a cell line lysates (35ug/lane).This demonstrates the LYPL1 antibody detected the LYPL1 protein (arrow). |
![]() |
LYPL1 Antibody (Center) (Cat. #P31375) flow cytometric analysis of Neuro-2a cells (right histogram) compared to a negative control cell (left histogram).FITC-conjugated donkey-anti-rabbit secondary antibodies were used for the analysis. |
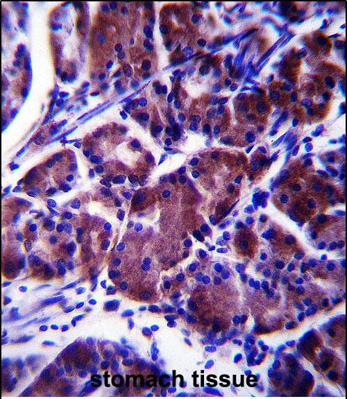
![]() |
LYPL1 Antibody (Center) (Cat. #P31375)immunohistochemistry analysis in formalin fixed and paraffin embedded human stomach tissue followed by peroxidase conjugation of the secondary antibody and DAB staining.This data demonstrates the use of LYPL1 Antibody (Center) for immunohistochemistry. Clinical relevance has not been evaluated. |
本公司的所有产品仅用于科学研究或者工业应用等非医疗目的,不可用于人类或动物的临床诊断或治疗,非药用,非食用。
暂无评论
本公司的所有产品仅用于科学研究或者工业应用等非医疗目的,不可用于人类或动物的临床诊断或治疗,非药用,非食用。
中文



发表回复