别名:G2/mitotic-specific cyclin-B1, Ccnb1, Ccn-2, Ccnb1-rs13, Cycb, Cycb1应用:WB,IHC
反应种属:Mouse
规格:50μl/100μl
| Description |
|---|
| Essential for the control of the cell cycle at the G2/M (mitosis) transition. |
| Specification | |
|---|---|
| Aliases | G2/mitotic-specific cyclin-B1, Ccnb1, Ccn-2, Ccnb1-rs13, Cycb, Cycb1 |
| Entrez GeneID | 268697 |
| Swissprot | P24860 |
| WB Predicted band size | 48.1kDa |
| Host/Isotype | Rabbit IgG |
| Storage | Store at 4°C short term. Aliquot and store at -20°C long term. Avoid freeze/thaw cycles. |
| Species Reactivity | Mouse |
| Immunogen | This Mouse CCNB1 antibody is generated from rabbits immunized with a KLH conjugated synthetic peptide between 103-130 amino acids from the Central region of mouse CCNB1. |
| Formulation | Purified polyclonal antibody supplied in PBS with 0.05% sodium azide. This antibody is purified through a protein A column, followed by peptide affinity purification. |
| Application | |
|---|---|
| WB | 1/1000 |
| IHC | 1/100-1/500 |
![]() |
Mouse CCNB1 Antibody (Center S123/S125)(Cat. #P32479) western blot analysis in mouse NIH/3T3 cell line and mouse spleen tissue lysates (35ug/lane).This demonstrates the mouse CCNB1 antibody detected the mouse CCNB1 protein (arrow). |
![]() |
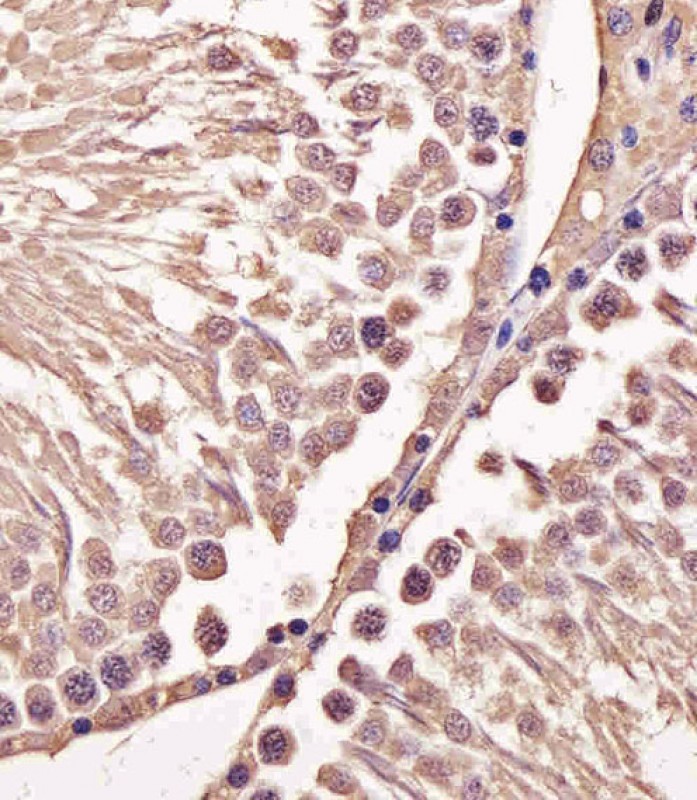
Immunohistochemical analysis of paraffin-embedded M. testis section using M CCNB1 Antibody (Center S123/S125)(Cat#P32479). P32479 was diluted at 1:25 dilution. A undiluted biotinylated goat polyvalent antibody was used as the secondary, followed by DAB staining. |
![]() |
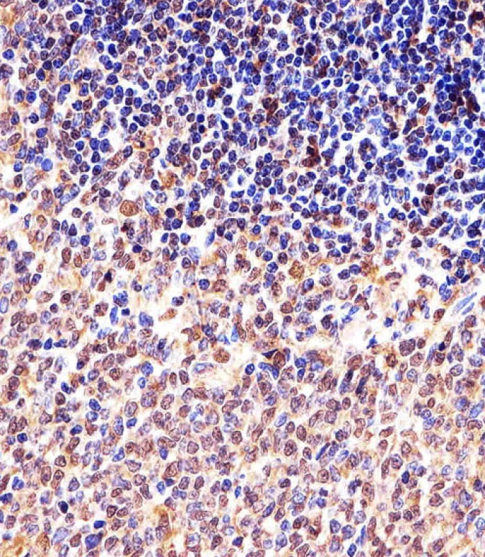
Immunohistochemical analysis of paraffin-embedded M. spleen section using M CCNB1 Antibody (Center S123/S125)(Cat#P32479). P32479 was diluted at 1:25 dilution. A undiluted biotinylated goat polyvalent antibody was used as the secondary, followed by DAB staining. |
本公司的所有产品仅用于科学研究或者工业应用等非医疗目的,不可用于人类或动物的临床诊断或治疗,非药用,非食用。
暂无评论
本公司的所有产品仅用于科学研究或者工业应用等非医疗目的,不可用于人类或动物的临床诊断或治疗,非药用,非食用。
中文



发表回复