别名:Melanoma-associated antigen 1, Antigen MZ2-E, Cancer/testis antigen 11, CT11, MAGE-1 antigen, MAGEA1, MAGE1, MAGE1A应用:WB,IHC
反应种属:Human
规格:50μl/100μl
| Description |
|---|
| MAGEA1 is a member of the MAGEA gene family. The members of this family have their entire coding sequences located in the last exon, and the encoded proteins show 50 to 80% sequence identity between each other. The promoters and first exons of the MAGEA genes show considerable variability, suggesting that the existence of this gene family enables the same function to be expressed under different transcriptional controls. The MAGEA genes are expressed at a high level in a number of tumors of various histologic types, and are silent in normal tissues with the exception of testis and placenta. The MAGEA genes are clustered on chromosome Xq28. They may be implicated in some hereditary disorders, such as dyskeratosis congenita. |
| Specification | |
|---|---|
| Aliases | Melanoma-associated antigen 1, Antigen MZ2-E, Cancer/testis antigen 11, CT11, MAGE-1 antigen, MAGEA1, MAGE1, MAGE1A |
| Entrez GeneID | 4100 |
| Swissprot | P43355 |
| WB Predicted band size | 34.3kDa |
| Host/Isotype | Rabbit IgG |
| Storage | Store at 4°C short term. Aliquot and store at -20°C long term. Avoid freeze/thaw cycles. |
| Species Reactivity | Human |
| Immunogen | This MAGEA1 antibody is generated from rabbits immunized with a KLH conjugated synthetic peptide between 143-173 amino acids from the Central region of human MAGEA1. |
| Formulation | Purified polyclonal antibody supplied in PBS with 0.05% sodium azide. This antibody is purified through a protein G column, eluted with high and low pH buffers and neutralized immediately, followed by dialysis against PBS. |
| Application | |
|---|---|
| WB | 1/1000 |
| IHC | 1/100-1/500 |
![]() |
Western blot analysis of anti-MAGEA1 Antibody (Center) (RB02082) in Hela cell line lysates (35ug/lane). MAGEA1(arrow) was detected using the purified Pab. |
![]() |
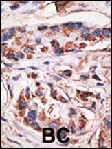
Formalin-fixed and paraffin-embedded human cancer tissue reacted with the primary antibody, which was peroxidase-conjugated to the secondary antibody, followed by DAB staining. This data demonstrates the use of this antibody for immunohistochemistry; clinical relevance has not been evaluated. BC = breast carcinoma; HC = hepatocarcinoma. |
![]() |
Formalin-fixed and paraffin-embedded human lung carcinoma tissue reacted with MAGEA1 Antibody (Center) (Cat.#P30091), which was peroxidase-conjugated to the secondary antibody, followed by DAB staining. This data demonstrates the use of this antibody for immunohistochemistry; clinical relevance has not been evaluated. |
本公司的所有产品仅用于科学研究或者工业应用等非医疗目的,不可用于人类或动物的临床诊断或治疗,非药用,非食用。
暂无评论
本公司的所有产品仅用于科学研究或者工业应用等非医疗目的,不可用于人类或动物的临床诊断或治疗,非药用,非食用。
中文



发表回复