别名:Melanoma-associated antigen B2, Cancer/testis antigen 32, CT32, DSS-AHC critical interval MAGE superfamily 6, DAM6, MAGE XP-2 antigen, MAGE-B2 antigen, MAGEB2应用:WB,IHC
反应种属:Human
规格:50μl/100μl
| Description |
|---|
| MAGEB2 is a member of the MAGEB gene family. The members of this family have their entire coding sequences located in the last exon, and the encoded proteins show 50 to 68% sequence identity to each other. The promoters and first exons of the MAGEB genes show considerable variability, suggesting that the existence of this gene family enables the same function to be expressed under different transcriptional controls. This gene is localized in the DSS (dosage-sensitive sex reversal) critical region. It is expressed in testis and placenta, and in a significant fraction of tumors of various histological types. The MAGEB genes are clustered on chromosome Xp22-p21. |
| Specification | |
|---|---|
| Aliases | Melanoma-associated antigen B2, Cancer/testis antigen 32, CT32, DSS-AHC critical interval MAGE superfamily 6, DAM6, MAGE XP-2 antigen, MAGE-B2 antigen, MAGEB2 |
| Entrez GeneID | 4113 |
| Swissprot | O15479 |
| WB Predicted band size | 35.3kDa |
| Host/Isotype | Rabbit IgG |
| Storage | Store at 4°C short term. Aliquot and store at -20°C long term. Avoid freeze/thaw cycles. |
| Species Reactivity | Human |
| Immunogen | This MAGEB2 antibody is generated from rabbits immunized with a KLH conjugated synthetic peptide between 4-33 amino acids from the N-terminal region of human MAGEB2. |
| Formulation | Purified polyclonal antibody supplied in PBS with 0.05% sodium azide. This antibody is purified through a protein G column, eluted with high and low pH buffers and neutralized immediately, followed by dialysis against PBS. |
| Application | |
|---|---|
| WB | 1/1000 |
| IHC | 1/100-1/500 |
![]() |
Western blot analysis of MAGEB2(arrow) using rabbit polyclonal MAGEB2 Antibody (Cat.#P30092). 293 cell lysates (2 ug/lane) either nontransfected (Lane 1) or transiently transfected with the MAGEB2 gene (Lane 2)(Origene Technologies). |
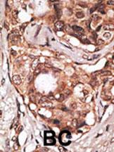
![]() |
Formalin-fixed and paraffin-embedded human cancer tissue reacted with the primary antibody, which was peroxidase-conjugated to the secondary antibody, followed by DAB staining. This data demonstrates the use of this antibody for immunohistochemistry; clinical relevance has not been evaluated. BC = breast carcinoma; HC = hepatocarcinoma. |
本公司的所有产品仅用于科学研究或者工业应用等非医疗目的,不可用于人类或动物的临床诊断或治疗,非药用,非食用。
暂无评论
本公司的所有产品仅用于科学研究或者工业应用等非医疗目的,不可用于人类或动物的临床诊断或治疗,非药用,非食用。
中文


发表回复