别名:CT3.3; MAGE-B5应用:IHC
反应种属:Human
规格:50μl/100μl
| Description |
|---|
| The melanoma-associated antigen (MAGE) family consists of a number of antigens recognized by cytotoxic T lymphocytes. The MAGE genes were initially isolated from different kinds of tumors and, based on their virtually exclusive tumor-specific expression in adult tissues, they have been used as targets for cancer immunotherapy. MAGE genes encode for tumor-rejection antigens that are expressed in tumors of different histologic types and in normal testis and placenta. MAGE-B5 (melanoma-associated antigen B5), also known as CT3.3 (cancer/testis antigen 3.3), is a 275 amino acid protein that contains one MAGE domain and is expressed in testis. The gene encoding MAGE-B5 maps to human chromosome X, which consists of about 153 million base pairs and nearly 1,000 genes. Color blindness, hemophilia and Duchenne muscular dystrophy are well known X chromosome-linked conditions which affect males more frequently, as males carry a single X chromosome. |
| Specification | |
|---|---|
| Aliases | CT3.3; MAGE-B5 |
| Swissprot | Q9BZ81 |
| Host/Isotype | Rabbit IgG |
| Storage | Store at 4°C short term. Aliquot and store at -20°C long term. Avoid freeze/thaw cycles. |
| Species Reactivity | Human |
| Immunogen | Synthetic peptide of human MAGEB5 |
| Formulation | pH7.4 PBS, 0.05% NaN3, 40% Glycerol |
| Application | |
|---|---|
| IHC | 1/20-1/100 |
| ELISA | 1/5000-1/10000 |
![]() |
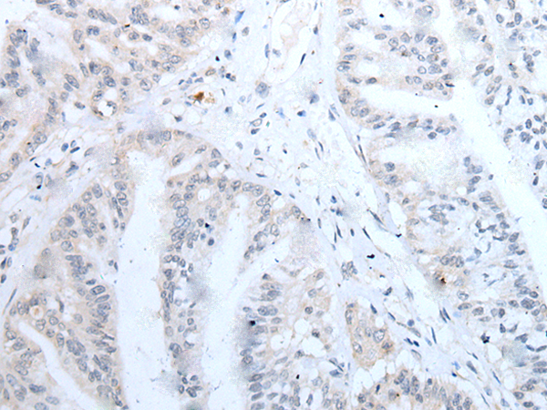
The image is immunohistochemistry of paraffin-embedded Human thyroid cancer tissue using P12780(MAGEB5 Antibody) at dilution 1/20. (Original magnification: ×200) |
![]() |
The image is immunohistochemistry of paraffin-embedded Human liver cancer tissue using P12780(MAGEB5 Antibody) at dilution 1/20. (Original magnification: ×200) |
本公司的所有产品仅用于科学研究或者工业应用等非医疗目的,不可用于人类或动物的临床诊断或治疗,非药用,非食用。
暂无评论
本公司的所有产品仅用于科学研究或者工业应用等非医疗目的,不可用于人类或动物的临床诊断或治疗,非药用,非食用。
中文


发表回复