别名:CT7; CT7.1应用:IHC
反应种属:Human
规格:50μl/100μl
| Description |
|---|
| This gene is a member of the melanoma antigen gene (MAGE) family. The proteins of this family are tumor-specific antigens that can be recognized by autologous cytolytic T lymphocytes. This protein contains a large number of unique short repetitive sequences in front of the MAGE-homologous sequence, and therefore is about 800 aa longer than the other MAGE proteins. |
| Specification | |
|---|---|
| Aliases | CT7; CT7.1 |
| Swissprot | O60732 |
| Host/Isotype | Rabbit IgG |
| Storage | Store at 4°C short term. Aliquot and store at -20°C long term. Avoid freeze/thaw cycles. |
| Species Reactivity | Human |
| Immunogen | Synthetic peptide of human MAGEC1 |
| Formulation | pH7.4 PBS, 0.05% NaN3, 40% Glycerol |
| Application | |
|---|---|
| IHC | 1/50-1/200 |
| ELISA | 1/2000-1/5000 |
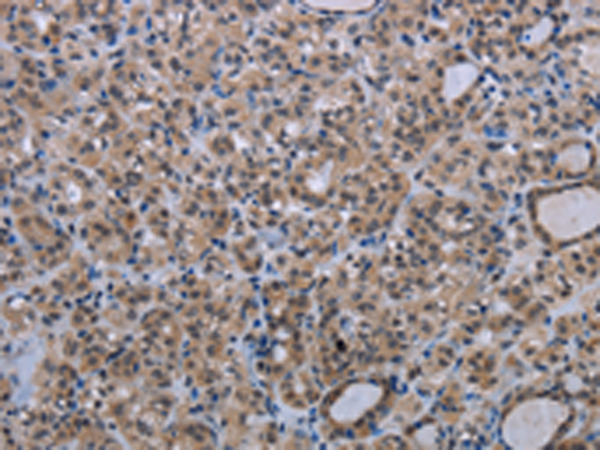
![]() |
The image is immunohistochemistry of paraffin-embedded Human ovarian cancer tissue using P05034(MAGEC1 Antibody) at dilution 1/30. (Original magnification: ×200) |
![]() |
The image is immunohistochemistry of paraffin-embedded Human thyroid cancer tissue using P05034(MAGEC1 Antibody) at dilution 1/30. (Original magnification: ×200) |
本公司的所有产品仅用于科学研究或者工业应用等非医疗目的,不可用于人类或动物的临床诊断或治疗,非药用,非食用。
暂无评论
本公司的所有产品仅用于科学研究或者工业应用等非医疗目的,不可用于人类或动物的临床诊断或治疗,非药用,非食用。
中文


发表回复