别名:HCA1; DAMAGE应用:IHC
反应种属:Human
规格:50μl/100μl
| Description |
|---|
| This gene encodes an alpha-dystrobrevin-associated MAGE (melanoma-associated antigen) protein, which is a member of the MAGE family. The protein contains a nuclear localization signal in the N-terminus, 30 12-amino acid repeats beginning at nt 60 with the consensus sequence ASEGPSTSVLPT, and two MAGE domains in the C-terminus. It may play a signaling role in brain, muscle, and peripheral nerve. This gene is located on X chromosome in a region containing loci linked to mental retardation. |
| Specification | |
|---|---|
| Aliases | HCA1; DAMAGE |
| Swissprot | Q9HCI5 |
| Host/Isotype | Rabbit IgG |
| Storage | Store at 4°C short term. Aliquot and store at -20°C long term. Avoid freeze/thaw cycles. |
| Species Reactivity | Human |
| Immunogen | Synthetic peptide of human MAGEE1 |
| Formulation | pH7.4 PBS, 0.05% NaN3, 40% Glycerol |
| Application | |
|---|---|
| IHC | 1/25-1/100 |
| ELISA | 1/1000-1/2000 |
![]() |
The image is immunohistochemistry of paraffin-embedded Human thyroid cancer tissue using P11922(MAGEE1 Antibody) at dilution 1/30. (Original magnification: ×200) |
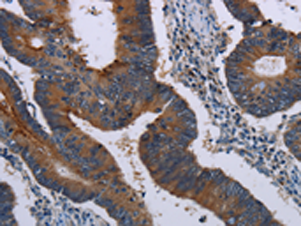
![]() |
The image is immunohistochemistry of paraffin-embedded Human colon cancer tissue using P11922(MAGEE1 Antibody) at dilution 1/30. (Original magnification: ×200) |
本公司的所有产品仅用于科学研究或者工业应用等非医疗目的,不可用于人类或动物的临床诊断或治疗,非药用,非食用。
暂无评论
本公司的所有产品仅用于科学研究或者工业应用等非医疗目的,不可用于人类或动物的临床诊断或治疗,非药用,非食用。
中文


发表回复