别名:Protein mago nashi homolog, MAGOH, MAGOHA应用:WB,IHC
反应种属:Human
规格:50μl/100μl
| Description |
|---|
| Drosophila that have mutations in their mago nashi (grandchildless) gene produce progeny with defects in germplasm assembly and germline development. This gene encodes the mammalian mago nashi homolog. In mammals, mRNA expression is not limited to the germ plasm, but is expressed ubiquitously in adult tissues and can be induced by serum stimulation of quiescent fibroblasts. |
| Specification | |
|---|---|
| Aliases | Protein mago nashi homolog, MAGOH, MAGOHA |
| Entrez GeneID | 4116 |
| Swissprot | P61326 |
| WB Predicted band size | 17.2kDa |
| Host/Isotype | Rabbit IgG |
| Storage | Store at 4°C short term. Aliquot and store at -20°C long term. Avoid freeze/thaw cycles. |
| Species Reactivity | Human |
| Immunogen | This MAGOH antibody is generated from rabbits immunized with a KLH conjugated synthetic peptide between 46-74 amino acids from the Central region of human MAGOH. |
| Formulation | Purified polyclonal antibody supplied in PBS with 0.05% sodium azide. This antibody is purified through a protein A column, followed by peptide affinity purification. |
| Application | |
|---|---|
| WB | 1/1000 |
| IHC | 1/100-1/500 |
![]() |
MAGOH Antibody (Center) (Cat. #P31456) western blot analysis in K562 cell line lysates (35ug/lane).This demonstrates the MAGOH antibody detected the MAGOH protein (arrow). |
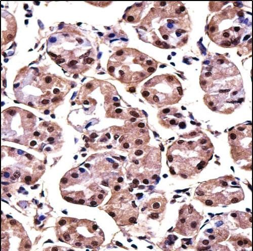
![]() |
MAGOH Antibody (Center) (P31456)immunohistochemistry analysis in formalin fixed and paraffin embedded human stomach tissue followed by peroxidase conjugation of the secondary antibody and DAB staining.This data demonstrates the use of MAGOH Antibody (Center) for immunohistochemistry. Clinical relevance has not been evaluated. |
本公司的所有产品仅用于科学研究或者工业应用等非医疗目的,不可用于人类或动物的临床诊断或治疗,非药用,非食用。
暂无评论
本公司的所有产品仅用于科学研究或者工业应用等非医疗目的,不可用于人类或动物的临床诊断或治疗,非药用,非食用。
中文


发表回复