别名:MRC1; CLEC13D; CLEC13DL; MRC1L1; Macrophage mannose receptor 1; MMR; C-type lectin domain family 13 member D; C-type lectin domain family 13 member D-like; Macrophage mannose receptor 1-like protein 1; CD antigen CD206应用:WB,IHC
反应种属:Human
规格:50μl/100μl
| Description |
|---|
| Mediates the endocytosis of glycoproteins by macrophages. Binds both sulfated and non-sulfated polysaccharide chains.(Microbial infection) Acts as phagocytic receptor for bacteria, fungi and other pathogens. Acts as a receptor for Dengue virus envelope protein E (PubMed:18266465). Interacts with hepatitis B virus envelope protein (PubMed:19683778). |
| Specification | |
|---|---|
| Aliases | MRC1; CLEC13D; CLEC13DL; MRC1L1; Macrophage mannose receptor 1; MMR; C-type lectin domain family 13 member D; C-type lectin domain family 13 member D-like; Macrophage mannose receptor 1-like protein 1; CD antigen CD206 |
| Entrez GeneID | 4360 |
| Swissprot | P22897 |
| WB Predicted band size | Calculated MW: 166 kDa; Observed MW: 170 kDa |
| Host/Isotype | Rabbit IgG |
| Storage | Store at 4°C short term. Aliquot and store at -20°C long term. Avoid freeze/thaw cycles. |
| Species Reactivity | Human |
| Immunogen | The antiserum was produced against synthesized peptide derived from the Internal region of human MRC1. AA range:341-390 |
| Formulation | Liquid in PBS containing 50% glycerol, 0.5% BSA and 0.02% sodium azide, pH 7.3. |
| Application | |
|---|---|
| WB | 1/500-1/1000 |
| IHC | 1/50-1/100 |
| ELISA | 1/10000 |
![]() |
Western blot analysis of Mannose Receptor in NIH3T3 lysates using Mannose Receptor antibody. |
![]() |
Western blot analysis of Mannose Receptor in 3T3 lysates lysates using CD206 antibody. |
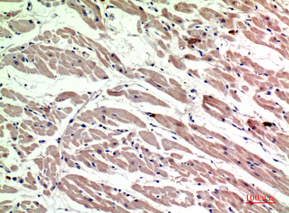
![]() |
Immunohistochemistry analysis of paraffin-embedded Human heart using Mannose Receptor antibody. High-pressure and temperature Sodium Citrate pH 6.0 was used for antigen retrieval. |
本公司的所有产品仅用于科学研究或者工业应用等非医疗目的,不可用于人类或动物的临床诊断或治疗,非药用,非食用。
暂无评论
本公司的所有产品仅用于科学研究或者工业应用等非医疗目的,不可用于人类或动物的临床诊断或治疗,非药用,非食用。
中文



发表回复