别名:MAP2A; MAP2B; MAP2C应用:IHC
反应种属:Human, Mouse, Rat
规格:50μl/100μl
| Description |
|---|
| Microtubule-associated protein 2 (MAP2) is a neuronal phosphoprotein that regulates the structure and stability of microtubules, neuronal morphogenesis, cytoskeleton dynamics, and organelle trafficking in axons and dendrites. Multiple MAP2 isoforms are expressed in neurons, including high molecular weight MAP2A and MAP2B (280 and 270 kDa), and low molecular weight MAP2C and MAP2D (70 and 75 kDa). Phosphorylation of MAP2 modulates its association with the cytoskeleton and is developmentally regulated. GSK-3 and p44/42 MAP kinase phosphorylate MAP2 at Ser136, Thr1620, and Thr1623. Phosphorylation at Thr1620/1623 by GSK-3 inhibits MAP2 association with microtubules and microtubule stability. |
| Specification | |
|---|---|
| Aliases | MAP2A; MAP2B; MAP2C |
| Swissprot | P11137 |
| Host/Isotype | Rabbit IgG |
| Storage | Store at 4°C short term. Aliquot and store at -20°C long term. Avoid freeze/thaw cycles. |
| Species Reactivity | Human, Mouse, Rat |
| Immunogen | Synthetic peptide of mouse MAP2 |
| Formulation | pH7.4 PBS, 0.05% NaN3, 40% Glycerol |
| Application | |
|---|---|
| IHC | 1/50-1/200 |
| ELISA | 1/2000-1/5000 |
![]() |
The image is immunohistochemistry of paraffin-embedded Human colon cancer tissue using P04215(MAP2 Antibody) at dilution 1/40. (Original magnification: ×200) |
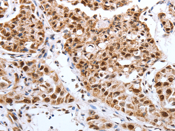
![]() |
The image is immunohistochemistry of paraffin-embedded Human lung cancer tissue using P04215(MAP2 Antibody) at dilution 1/40. (Original magnification: ×200) |
本公司的所有产品仅用于科学研究或者工业应用等非医疗目的,不可用于人类或动物的临床诊断或治疗,非药用,非食用。
暂无评论
本公司的所有产品仅用于科学研究或者工业应用等非医疗目的,不可用于人类或动物的临床诊断或治疗,非药用,非食用。
中文


发表回复