别名:Dual specificity mitogen-activated protein kinase kinase 5, MAP kinase kinase 5, MAPKK 5, MAPK/ERK kinase 5, MEK 5, MAP2K5, MEK5, MKK5, PRKMK5应用:WB,IHC
反应种属:Human
规格:50μl/100μl
| Description |
|---|
| MAP2K5 is a dual specificity protein kinase that belongs to the MAP kinase kinase family. It specifically interacts with and activates MAPK7/ERK5. This kinase itself can be phosphorylated and activated by MAP3K3/MEKK3, as well as by atypical protein kinase C isoforms (aPKCs). The signal cascade mediated by MAP2K5 is involved in growth factor stimulated cell proliferation and muscle cell differentiation. |
| Specification | |
|---|---|
| Aliases | Dual specificity mitogen-activated protein kinase kinase 5, MAP kinase kinase 5, MAPKK 5, MAPK/ERK kinase 5, MEK 5, MAP2K5, MEK5, MKK5, PRKMK5 |
| Entrez GeneID | 5607 |
| Swissprot | Q13163 |
| WB Predicted band size | 50.1kDa |
| Host/Isotype | Rabbit IgG |
| Storage | Store at 4°C short term. Aliquot and store at -20°C long term. Avoid freeze/thaw cycles. |
| Species Reactivity | Human |
| Immunogen | This MAP2K5 antibody is generated from rabbits immunized with a KLH conjugated synthetic peptide between 127-156 amino acids from human MAP2K5. |
| Formulation | Purified polyclonal antibody supplied in PBS with 0.05% sodium azide. This antibody is purified through a protein A column, followed by peptide affinity purification. |
| Application | |
|---|---|
| WB | 1/1000 |
| IHC | 1/100-1/500 |
![]() |
Western blot analysis of MAP2K5 (arrow) using rabbit polyclonal MAP2K5 Antibody (S149) (Cat.#P30258).293 cell lysates (2 ug/lane) either nontransfected (Lane 1) or transiently transfected with the MAP2K5 gene (Lane 2) (Origene Technologies). |
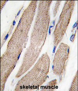
![]() |
Formalin-fixed and paraffin-embedded human skeletal muscle tissue reacted with MAP2K5 Antibody (S149) (Cat.#P30258), which was peroxidase-conjugated to the secondary antibody, followed by DAB staining. This data demonstrates the use of this antibody for immunohistochemistry; clinical relevance has not been evaluated. |
本公司的所有产品仅用于科学研究或者工业应用等非医疗目的,不可用于人类或动物的临床诊断或治疗,非药用,非食用。
暂无评论
本公司的所有产品仅用于科学研究或者工业应用等非医疗目的,不可用于人类或动物的临床诊断或治疗,非药用,非食用。
中文


发表回复