别名:MLK3; PTK1; SPRK; MLK-3; MEKK11应用:WB,IHC
反应种属:Human, Mouse, Rat
规格:50μl/100μl
| Description |
|---|
| The protein encoded by this gene is a member of the serine/threonine kinase family. This kinase contains a SH3 domain and a leucine zipper-basic motif. This kinase preferentially activates MAPK8/JNK kinase, and functions as a positive regulator of JNK signaling pathway. This kinase can directly phosphorylate, and activates IkappaB kinase alpha and beta, and is found to be involved in the transcription activity of NF-kappaB mediated by Rho family GTPases and CDC42. |
| Specification | |
|---|---|
| Aliases | MLK3; PTK1; SPRK; MLK-3; MEKK11 |
| Swissprot | Q16584 |
| WB Predicted band size | 93 kDa |
| Host/Isotype | Rabbit IgG |
| Storage | Store at 4°C short term. Aliquot and store at -20°C long term. Avoid freeze/thaw cycles. |
| Species Reactivity | Human, Mouse, Rat |
| Immunogen | Synthetic peptide of human MAP3K11 |
| Formulation | pH7.4 PBS, 0.05% NaN3, 40% Glycerol |
| Application | |
|---|---|
| WB | 1/500-1/2000 |
| IHC | 1/50-1/100 |
| ELISA | 1/5000-1/10000 |
![]() |
Gel: 6%SDS-PAGE, Lysate: 40 μg, Lane 1-2: NIH/3T3 and MCF7 cell lysates, Primary antibody: P05059(MAP3K11 Antibody) at dilution 1/600, Secondary antibody: Goat anti rabbit IgG at 1/5000 dilution, Exposure time: 10 seconds |
![]() |
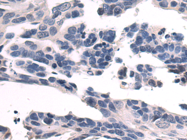
The image is immunohistochemistry of paraffin-embedded Human colorectal cancer tissue using P05059(MAP3K11 Antibody) at dilution 1/50. (Original magnification: ×200) |
本公司的所有产品仅用于科学研究或者工业应用等非医疗目的,不可用于人类或动物的临床诊断或治疗,非药用,非食用。
暂无评论
本公司的所有产品仅用于科学研究或者工业应用等非医疗目的,不可用于人类或动物的临床诊断或治疗,非药用,非食用。
中文


发表回复