别名:pk; AZK; MLT; MRK; ZAK; CNM6; MLK7; MLTK; SFMMP; mlklak; MLTKbeta; MLTKalpha应用:IHC
反应种属:Human, Mouse
规格:50μl/100μl
| Description |
|---|
| This gene is a member of the MAPKKK family of signal transduction molecules and encodes a protein with an N-terminal kinase catalytic domain, followed by a leucine zipper motif and a sterile-alpha motif (SAM). This magnesium-binding protein forms homodimers and is located in the cytoplasm. The protein mediates gamma radiation signaling leading to cell cycle arrest and activity of this protein plays a role in cell cycle checkpoint regulation in cells. The protein also has pro-apoptotic activity. Alternate transcriptional splice variants, encoding different isoforms, have been characterized. [provided by RefSeq, Jul 2008] |
| Specification | |
|---|---|
| Aliases | pk; AZK; MLT; MRK; ZAK; CNM6; MLK7; MLTK; SFMMP; mlklak; MLTKbeta; MLTKalpha |
| Swissprot | Q9NYL2 |
| Host/Isotype | Rabbit IgG |
| Storage | Store at 4°C short term. Aliquot and store at -20°C long term. Avoid freeze/thaw cycles. |
| Species Reactivity | Human, Mouse |
| Immunogen | Synthetic peptide of human MAP3K20 |
| Formulation | pH7.4 PBS, 0.05% NaN3, 40% Glycerol |
| Application | |
|---|---|
| IHC | 1/50-1/200 |
| ELISA | 1/2000-1/5000 |
![]() |
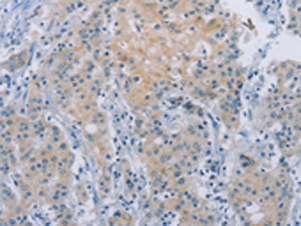
The image is immunohistochemistry of paraffin-embedded Human liver cancer tissue using P03671(MAP3K20 Antibody) at dilution 1/100. (Original magnification: ×200) |
![]() |
The image is immunohistochemistry of paraffin-embedded Human gastric cancer tissue using P03671(MAP3K20 Antibody) at dilution 1/100. (Original magnification: ×200) |
本公司的所有产品仅用于科学研究或者工业应用等非医疗目的,不可用于人类或动物的临床诊断或治疗,非药用,非食用。
暂无评论
本公司的所有产品仅用于科学研究或者工业应用等非医疗目的,不可用于人类或动物的临床诊断或治疗,非药用,非食用。
中文


发表回复