别名:P38B; SAPK2; p38-2; PRKM11; SAPK2B; p38Beta; P38BETA2应用:WB,IHC
反应种属:Human
规格:50μl/100μl
| Description |
|---|
| The protein encoded by this gene is a member of the MAP kinase family. MAP kinases act as an integration point for multiple biochemical signals, and are involved in a wide variety of cellular processes such as proliferation, differentiation, transcription regulation, and development. This kinase is most closely related to p38 MAP kinase, both of which can be activated by proinflammatory cytokines and environmental stress. This kinase is activated through its phosphorylation by MAP kinase kinases (MKKs), preferably by MKK6. Transcription factor ATF2/CREB2 has been shown to be a substrate of this kinase. [ |
| Specification | |
|---|---|
| Aliases | P38B; SAPK2; p38-2; PRKM11; SAPK2B; p38Beta; P38BETA2 |
| Swissprot | Q15759 |
| WB Predicted band size | 41 kDa |
| Host/Isotype | Rabbit IgG |
| Storage | Store at 4°C short term. Aliquot and store at -20°C long term. Avoid freeze/thaw cycles. |
| Species Reactivity | Human |
| Immunogen | Synthetic peptide of human MAPK11 |
| Formulation | pH7.4 PBS, 0.05% NaN3, 40% Glycerol |
| Application | |
|---|---|
| WB | 1/500-1/2000 |
| IHC | 1/25-1/100 |
| ELISA | 1/2000-1/5000 |
![]() |
Gel: 8%SDS-PAGE, Lysate: 40 μg, Lane 1-2: 293T cells, human fetal brain tissue, Primary antibody: P04308(MAPK11 Antibody) at dilution 1/200, Secondary antibody: Goat anti rabbit IgG at 1/8000 dilution, Exposure time: 30 seconds |
![]() |
The image is immunohistochemistry of paraffin-embedded Human thyroid cancer tissue using P04308(MAPK11 Antibody) at dilution 1/30. (Original magnification: ×200) |
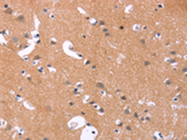
![]() |
The image is immunohistochemistry of paraffin-embedded Human brain tissue using P04308(MAPK11 Antibody) at dilution 1/30. (Original magnification: ×200) |
本公司的所有产品仅用于科学研究或者工业应用等非医疗目的,不可用于人类或动物的临床诊断或治疗,非药用,非食用。
暂无评论
本公司的所有产品仅用于科学研究或者工业应用等非医疗目的,不可用于人类或动物的临床诊断或治疗,非药用,非食用。
中文



发表回复