别名:BMK1; ERK4; ERK5; PRKM7应用:WB,IHC
反应种属:Human, Mouse, Rat
规格:50μl/100μl
| Description |
|---|
| The protein encoded by this gene is a member of the MAP kinase family. MAP kinases act as an integration point for multiple biochemical signals, and are involved in a wide variety of cellular processes such as proliferation, differentiation, transcription regulation and development. This kinase is specifically activated by mitogen-activated protein kinase kinase 5 (MAP2K5/MEK5). It is involved in the downstream signaling processes of various receptor molecules including receptor type kinases, and G protein-coupled receptors. |
| Specification | |
|---|---|
| Aliases | BMK1; ERK4; ERK5; PRKM7 |
| Swissprot | Q13164 |
| WB Predicted band size | 88 kDa |
| Host/Isotype | Rabbit IgG |
| Storage | Store at 4°C short term. Aliquot and store at -20°C long term. Avoid freeze/thaw cycles. |
| Species Reactivity | Human, Mouse, Rat |
| Immunogen | Fusion protein of human MAPK7 |
| Formulation | pH7.4 PBS, 0.05% NaN3, 40% Glycerol |
| Application | |
|---|---|
| WB | 1/500-1/2000 |
| IHC | 1/30-1/150 |
| ELISA | 1/2000-1/5000 |
![]() |
Gel: 6%SDS-PAGE, Lysate: 40 μg, Lane 1-3: Human fetal muscle tissue, A172 cells, K562 cells, Primary antibody: P07278(MAPK7 Antibody) at dilution 1/250, Secondary antibody: Goat anti rabbit IgG at 1/8000 dilution, Exposure time: 20 seconds |
![]() |
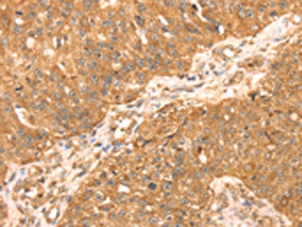
The image is immunohistochemistry of paraffin-embedded Human breast cancer tissue using P07278(MAPK7 Antibody) at dilution 1/35. (Original magnification: ×200) |
![]() |
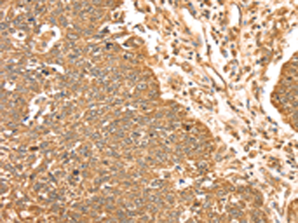
The image is immunohistochemistry of paraffin-embedded Human lung cancer tissue using P07278(MAPK7 Antibody) at dilution 1/35. (Original magnification: ×200) |
本公司的所有产品仅用于科学研究或者工业应用等非医疗目的,不可用于人类或动物的临床诊断或治疗,非药用,非食用。
暂无评论
本公司的所有产品仅用于科学研究或者工业应用等非医疗目的,不可用于人类或动物的临床诊断或治疗,非药用,非食用。
中文



发表回复