别名:F52; MLP; MRP; MLP1; MACMARCKS应用:IHC
反应种属:Human, Mouse, Rat
规格:50μl/100μl
| Description |
|---|
| This gene encodes a member of the myristoylated alanine-rich C-kinase substrate (MARCKS) family. Members of this family play a role in cytoskeletal regulation, protein kinase C signaling and calmodulin signaling. The encoded protein affects the formation of adherens junction. Alternative splicing results in multiple transcript variants. Pseudogenes of this gene are located on the long arm of chromosomes 6 and 10. |
| Specification | |
|---|---|
| Aliases | F52; MLP; MRP; MLP1; MACMARCKS |
| Swissprot | P49006 |
| Host/Isotype | Rabbit IgG |
| Storage | Store at 4°C short term. Aliquot and store at -20°C long term. Avoid freeze/thaw cycles. |
| Species Reactivity | Human, Mouse, Rat |
| Immunogen | Fusion protein of human MARCKSL1 |
| Formulation | pH7.4 PBS, 0.05% NaN3, 40% Glycerol |
| Application | |
|---|---|
| IHC | 1/50-1/200 |
| ELISA | 1/5000-1/10000 |
![]() |
The image is immunohistochemistry of paraffin-embedded Human esophagus cancer tissue using P03287(MARCKSL1 Antibody) at dilution 1/70. (Original magnification: ×200) |
![]() |
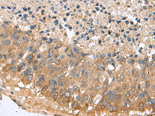
The image is immunohistochemistry of paraffin-embedded Human liver cancer tissue using P03287(MARCKSL1 Antibody) at dilution 1/70. (Original magnification: ×200) |
本公司的所有产品仅用于科学研究或者工业应用等非医疗目的,不可用于人类或动物的临床诊断或治疗,非药用,非食用。
暂无评论
本公司的所有产品仅用于科学研究或者工业应用等非医疗目的,不可用于人类或动物的临床诊断或治疗,非药用,非食用。
中文


发表回复