别名:sMAP; MAP19; MASP-2; MASP1P1应用:IHC
反应种属:Human, Mouse, Rat
规格:50μl/100μl
| Description |
|---|
| The Ra-reactive factor (RARF) is a complement-dependent bactericidal factor that binds to the Ra and R2 polysaccharides expressed by certain enterobacteria. Alternate splicing of this gene results in two transcript variants encoding two RARF components that are involved in the mannan-binding lectin pathway of complement activation. The longer isoform is cleaved into two chains which form a heterodimer linked by a disulfide bond. The encoded proteins are members of the trypsin family of peptidases. |
| Specification | |
|---|---|
| Aliases | sMAP; MAP19; MASP-2; MASP1P1 |
| Swissprot | O00187 |
| Host/Isotype | Rabbit IgG |
| Storage | Store at 4°C short term. Aliquot and store at -20°C long term. Avoid freeze/thaw cycles. |
| Species Reactivity | Human, Mouse, Rat |
| Immunogen | Synthetic peptide of human MASP2 |
| Formulation | pH7.4 PBS, 0.05% NaN3, 40% Glycerol |
| Application | |
|---|---|
| IHC | 1/25-1/100 |
| ELISA | 1/2000-1/5000 |
![]() |
The image is immunohistochemistry of paraffin-embedded Human liver cancer tissue using P11014(MASP2 Antibody) at dilution 1/35. (Original magnification: ×200) |
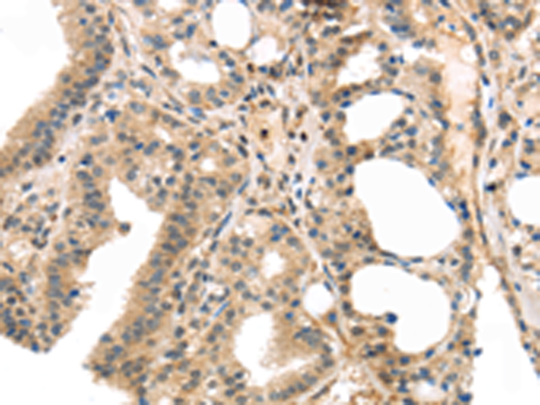
![]() |
The image is immunohistochemistry of paraffin-embedded Human thyroid cancer tissue using P11014(MASP2 Antibody) at dilution 1/35. (Original magnification: ×200) |
本公司的所有产品仅用于科学研究或者工业应用等非医疗目的,不可用于人类或动物的临床诊断或治疗,非药用,非食用。
暂无评论
本公司的所有产品仅用于科学研究或者工业应用等非医疗目的,不可用于人类或动物的临床诊断或治疗,非药用,非食用。
中文


发表回复