别名:Serpin B5, Maspin, Peptidase inhibitor 5, PI-5, SERPINB5, PI5应用:WB,IHC,ICC
反应种属:Human, Mouse, Rat
规格:50μl/100μl
| Description |
|---|
| SERPINB5 is a tumor suppressor. It blocks the growth, invasion, and metastatic properties of mammary tumors. As it does not undergo the S (stressed) to R (relaxed) conformational transition characteristic of active serpins, it exhibits no serine protease inhibitory activity. |
| Specification | |
|---|---|
| Aliases | Serpin B5, Maspin, Peptidase inhibitor 5, PI-5, SERPINB5, PI5 |
| Entrez GeneID | 5268 |
| Swissprot | P36952 |
| WB Predicted band size | 42.1kDa |
| Host/Isotype | Rabbit IgG |
| Storage | Store at 4°C short term. Aliquot and store at -20°C long term. Avoid freeze/thaw cycles. |
| Species Reactivity | Human, Mouse, Rat |
| Immunogen | This Maspin antibody is generated from rabbits immunized with a KLH conjugated synthetic peptide between 94-123 amino acids from the Central region of human Maspin. |
| Formulation | Purified polyclonal antibody supplied in PBS with 0.05% sodium azide. This antibody is purified through a protein A column, followed by peptide affinity purification. |
| Application | |
|---|---|
| WB | 1/1000 |
| IHC | 1/100-1/500 |
| ICC | 1/10-1/50 |
![]() |
Western blot analysis of lysate from Hela cell line,using Maspin Antibody (Center)(Cat. #P32562).P32562 was diluted at 1:1000 at each lane. A goat anti-rabbit IgG H&L(HRP) at 1:5000 dilution was used as the secondary antibody.Lysate at 35ug per lane. |
![]() |
Confocal immunofluorescent analysis of Maspin Antibody (Center)(Cat#P32562) with A2058 cell followed by Alexa Fluor 488-conjugated goat anti-rabbit lgG (green). DAPI was used to stain the cell nuclear (blue). |
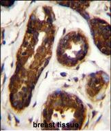
![]() |
Maspin Antibody (Center) (Cat. #P32562)immunohistochemistry analysis in formalin fixed and paraffin embedded human breast tissue followed by peroxidase conjugation of the secondary antibody and DAB staining.This data demonstrates the use of Maspin Antibody (Center) for immunohistochemistry. Clinical relevance has not been evaluated. |
本公司的所有产品仅用于科学研究或者工业应用等非医疗目的,不可用于人类或动物的临床诊断或治疗,非药用,非食用。
暂无评论
本公司的所有产品仅用于科学研究或者工业应用等非医疗目的,不可用于人类或动物的临床诊断或治疗,非药用,非食用。
中文



发表回复