别名:Serine/threonine-protein kinase greatwall, GW, GWL, hGWL, Microtubule-associated serine/threonine-protein kinase-like, MAST-L, MASTL, GW, GWL, THC2应用:WB,IHC,FCM
反应种属:Human
规格:50μl/100μl
| Description |
|---|
| MASTL, microtubule associated serine/threonine kinase-like, contains 1 protein kinase domain which belongs to the Ser/Thr protein kinase family. It may be involved in megakaryocyte differentiation. Defects in MASTL are a cause of nonsyndromic autosomal |
| Specification | |
|---|---|
| Aliases | Serine/threonine-protein kinase greatwall, GW, GWL, hGWL, Microtubule-associated serine/threonine-protein kinase-like, MAST-L, MASTL, GW, GWL, THC2 |
| Entrez GeneID | 84930 |
| Swissprot | Q96GX5 |
| WB Predicted band size | 97.3kDa |
| Host/Isotype | Rabbit IgG |
| Storage | Store at 4°C short term. Aliquot and store at -20°C long term. Avoid freeze/thaw cycles. |
| Species Reactivity | Human |
| Immunogen | This MASTL antibody is generated from rabbits immunized with human partial MASTL recombinant protein. |
| Formulation | Purified polyclonal antibody supplied in PBS with 0.05% sodium azide. This antibody is purified through a protein A column, followed by peptide affinity purification. |
| Application | |
|---|---|
| WB | 1/1000 |
| IHC | 1/100-1/500 |
| FCM | 1/10-1/50 |
![]() |
Western blot analysis of MASTL Antibody (Cat. #P30435) in HepG2, MDA-MB231, 293, Hela cell line lysates (35ug/lane). MASTL (arrow) was detected using the purified Pab. |
![]() |
MASTL Antibody (Cat. #P30435) flow cytometric analysis of HepG2 cells (bottom histogram) compared to a negative control cell (top histogram).FITC-conjugated goat-anti-rabbit secondary antibodies were used for the analysis. |
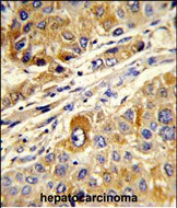
![]() |
Formalin-fixed and paraffin-embedded human hepatocarcinoma reacted with MASTL Antibody, which was peroxidase-conjugated to the secondary antibody, followed by DAB staining. This data demonstrates the use of this antibody for immunohistochemistry; clinical relevance has not been evaluated. |
本公司的所有产品仅用于科学研究或者工业应用等非医疗目的,不可用于人类或动物的临床诊断或治疗,非药用,非食用。
暂无评论
本公司的所有产品仅用于科学研究或者工业应用等非医疗目的,不可用于人类或动物的临床诊断或治疗,非药用,非食用。
中文



发表回复