别名:Methionine adenosyltransferase 2 subunit beta, Methionine adenosyltransferase II beta, MAT II beta, Putative dTDP-4-keto-6-deoxy-D-glucose 4-reductase, MAT2B, TGR应用:WB,IHC
反应种属:Human
规格:50μl/100μl
| Description |
|---|
| MAT2B belongs to the methionine adenosyltransferase (MAT) family. MAT catalyzes the biosynthesis of S-adenosylmethionine from methionine and ATP. This protein is the regulatory beta subunit of MAT. |
| Specification | |
|---|---|
| Aliases | Methionine adenosyltransferase 2 subunit beta, Methionine adenosyltransferase II beta, MAT II beta, Putative dTDP-4-keto-6-deoxy-D-glucose 4-reductase, MAT2B, TGR |
| Entrez GeneID | 27430 |
| Swissprot | Q9NZL9 |
| WB Predicted band size | 37.6kDa |
| Host/Isotype | Rabbit IgG |
| Storage | Store at 4°C short term. Aliquot and store at -20°C long term. Avoid freeze/thaw cycles. |
| Species Reactivity | Human |
| Immunogen | This MAT2B antibody is generated from rabbits immunized with a KLH conjugated synthetic peptide between 80-107 amino acids from the N-terminal region of human MAT2B. |
| Formulation | Purified polyclonal antibody supplied in PBS with 0.05% sodium azide. This antibody is purified through a protein A column, followed by peptide affinity purification. |
| Application | |
|---|---|
| WB | 1/1000 |
| IHC | 1/100-1/500 |
![]() |
Western blot analysis of MAT2B Antibody (N-term) (Cat. #P30510) in293,MDA-MB231 cell line lysates (35ug/lane). MAT2B (arrow) was detected using the purified Pab. |
![]() |
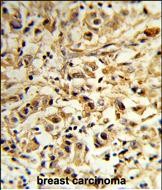
Formalin-fixed and paraffin-embedded human breast carcinoma reacted with MAT2B Antibody (N-term), which was peroxidase-conjugated to the secondary antibody, followed by DAB staining. This data demonstrates the use of this antibody for immunohistochemistry; clinical relevance has not been evaluated. |
本公司的所有产品仅用于科学研究或者工业应用等非医疗目的,不可用于人类或动物的临床诊断或治疗,非药用,非食用。
暂无评论
本公司的所有产品仅用于科学研究或者工业应用等非医疗目的,不可用于人类或动物的临床诊断或治疗,非药用,非食用。
中文


发表回复