别名:MBL; MBP; MBP1; MBPD; MBL2D; MBP-C; COLEC1; HSMBPC应用:IHC
反应种属:Human, Rat
规格:50μl/100μl
| Description |
|---|
| This gene encodes the soluble mannose-binding lectin or mannose-binding protein found in serum. The protein encoded belongs to the collectin family and is an important element in the innate immune system. The protein recognizes mannose and N-acetylglucosamine on many microorganisms, and is capable of activating the classical complement pathway. Deficiencies of this gene have been associated with susceptibility to autoimmune and infectious diseases. |
| Specification | |
|---|---|
| Aliases | MBL; MBP; MBP1; MBPD; MBL2D; MBP-C; COLEC1; HSMBPC |
| Swissprot | P11226 |
| Host/Isotype | Rabbit IgG |
| Storage | Store at 4°C short term. Aliquot and store at -20°C long term. Avoid freeze/thaw cycles. |
| Species Reactivity | Human, Rat |
| Immunogen | Synthetic peptide of human MBL2 |
| Formulation | pH7.4 PBS, 0.05% NaN3, 40% Glycerol |
| Application | |
|---|---|
| IHC | 1/50-1/100 |
| ELISA | 1/5000-1/10000 |
![]() |
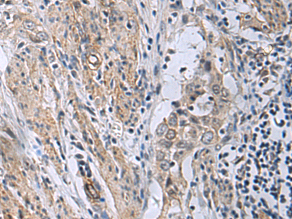
The image is immunohistochemistry of paraffin-embedded Human colorectal cancer tissue using P12770(MBL2 Antibody) at dilution 1/25. (Original magnification: ×200) |
![]() |
The image is immunohistochemistry of paraffin-embedded Human esophagus cancer tissue using P12770(MBL2 Antibody) at dilution 1/25. (Original magnification: ×200) |
本公司的所有产品仅用于科学研究或者工业应用等非医疗目的,不可用于人类或动物的临床诊断或治疗,非药用,非食用。
暂无评论
本公司的所有产品仅用于科学研究或者工业应用等非医疗目的,不可用于人类或动物的临床诊断或治疗,非药用,非食用。
中文


发表回复