别名:Activating transcription factor 7-interacting protein 2, ATF7-interacting protein 2, MBD1-containing chromatin-associated factor 2, ATF7IP2, MCAF2应用:WB,IHC,FCM
反应种属:Human, Mouse
规格:50μl/100μl
| Description |
|---|
| Recruiter that couples transcriptional factors to general transcription apparatus and thereby modulates transcription regulation and chromatin formation. Can both act as an activator or a repressor depending on the context. Mediates MBD1-dependent transcriptional repression, probably by recruiting complexes containing SETDB1. The complex formed with MBD1 and SETDB1 represses transcription and probably couples DNA methylation and histone ‘Lys-9’ trimethylation activity (Probable). |
| Specification | |
|---|---|
| Aliases | Activating transcription factor 7-interacting protein 2, ATF7-interacting protein 2, MBD1-containing chromatin-associated factor 2, ATF7IP2, MCAF2 |
| Entrez GeneID | 80063 |
| Swissprot | Q5U623 |
| WB Predicted band size | 75.8kDa |
| Host/Isotype | Rabbit IgG |
| Storage | Store at 4°C short term. Aliquot and store at -20°C long term. Avoid freeze/thaw cycles. |
| Species Reactivity | Human, Mouse |
| Immunogen | This MCAF2 antibody is generated from rabbits immunized with a KLH conjugated synthetic peptide between 318-347 amino acids from the Central region of human MCAF2. |
| Formulation | Purified polyclonal antibody supplied in PBS with 0.05% sodium azide. This antibody is purified through a protein A column, followed by peptide affinity purification. |
| Application | |
|---|---|
| WB | 1/1000 |
| IHC | 1/100-1/500 |
| FCM | 1/10-1/50 |
![]() |
MCAF2 Antibody (Center) (Cat. #P30798) western blot analysis in mouse stomach tissue lysates (35ug/lane).This demonstrates the MCAF2 antibody detected the MCAF2 protein (arrow). |
![]() |
MCAF2 Antibody (Center) (Cat. #P30798) western blot analysis in CEM cell line lysates (35ug/lane).This demonstrates the MCAF2 antibody detected the MCAF2 protein (arrow). |
![]() |
MCAF2 Antibody (Center) (Cat. #P30798) flow cytometric analysis of CEM cells (right histogram) compared to a negative control cell (left histogram).FITC-conjugated goat-anti-rabbit secondary antibodies were used for the analysis. |
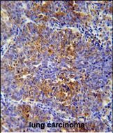
![]() |
MCAF2 Antibody (Center) (Cat. #P30798) immunohistochemistry analysis in formalin fixed and paraffin embedded human lung carcinoma followed by peroxidase conjugation of the secondary antibody and DAB staining. This data demonstrates the use of the MCAF2 Antibody (Center) for immunohistochemistry. Clinical relevance has not been evaluated. |
本公司的所有产品仅用于科学研究或者工业应用等非医疗目的,不可用于人类或动物的临床诊断或治疗,非药用,非食用。
暂无评论
本公司的所有产品仅用于科学研究或者工业应用等非医疗目的,不可用于人类或动物的临床诊断或治疗,非药用,非食用。
中文




发表回复