别名:Malate dehydrogenase, cytoplasmic, Cytosolic malate dehydrogenase, Diiodophenylpyruvate reductase, MDH1, MDHA应用:WB,IHC,FCM
反应种属:Human, Mouse, Rat
规格:50μl/100μl
| Description |
|---|
| MDH1 is localized to the cytoplasm and may play pivotal roles in the malate-aspartate shuttle that operates in the metabolic coordination between cytosol and mitochondria. |
| Specification | |
|---|---|
| Aliases | Malate dehydrogenase, cytoplasmic, Cytosolic malate dehydrogenase, Diiodophenylpyruvate reductase, MDH1, MDHA |
| Entrez GeneID | 4190 |
| Swissprot | P40925 |
| WB Predicted band size | 36.4kDa |
| Host/Isotype | Rabbit IgG |
| Storage | Store at 4°C short term. Aliquot and store at -20°C long term. Avoid freeze/thaw cycles. |
| Species Reactivity | Human, Mouse, Rat |
| Immunogen | This MDH1 antibody is generated from rabbits immunized with a KLH conjugated synthetic peptide between 286-314 amino acids from the C-terminal region of human MDH1. |
| Formulation | Purified polyclonal antibody supplied in PBS with 0.05% sodium azide. This antibody is prepared by Saturated Ammonium Sulfate (SAS) precipitation followed by dialysis against PBS. |
| Application | |
|---|---|
| WB | 1/1000 |
| IHC | 1/100-1/500 |
| FCM | 1/10-1/50 |
![]() |
MDH1 Antibody (C-term) (Cat. #P30404) western blot analysis in HL-60,THP-1 cell line lysates (35ug/lane).This demonstrates the MDH1 antibody detected the MDH1 protein (arrow). |
![]() |
MDH1 Antibody (C-term) (Cat. #P30404) flow cytometry analysis of HL-60 cells (bottom histogram) compared to a negative control cell (top histogram).FITC-conjugated goat-anti-rabbit secondary antibodies were used for the analysis. |
![]() |
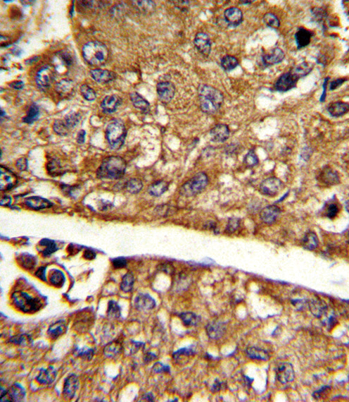
Formalin-fixed and paraffin-embedded human hepatocarcinoma reacted with MDH1 Antibody (C-term), which was peroxidase-conjugated to the secondary antibody, followed by DAB staining. This data demonstrates the use of this antibody for immunohistochemistry; clinical relevance has not been evaluated. |
本公司的所有产品仅用于科学研究或者工业应用等非医疗目的,不可用于人类或动物的临床诊断或治疗,非药用,非食用。
暂无评论
本公司的所有产品仅用于科学研究或者工业应用等非医疗目的,不可用于人类或动物的临床诊断或治疗,非药用,非食用。
中文



发表回复