别名:MEK6; MKK6; MAPKK6; PRKMK6; SAPKK3; MAP2K6; MEK3; MAP kinase kinase 3; MAPKK3; MAPK/ERK kinase 3应用:WB,IHC,ICC,FCM,IP
反应种属:Human,Mouse,Rat
规格:50μl/100μl
| Description |
|---|
| Dual specificity kinase. Is activated by cytokines and environmental stress in vivo. Catalyzes the concomitant phosphorylation of a threonine and a tyrosine residue in the MAP kinase p38. |
| Specification | |
|---|---|
| Aliases | MEK6; MKK6; MAPKK6; PRKMK6; SAPKK3; MAP2K6; MEK3; MAP kinase kinase 3; MAPKK3; MAPK/ERK kinase 3 |
| Entrez GeneID | 5606/5608 |
| Swissprot | P46734/P52564 |
| WB Predicted band size | Calculated MW: 39,37 kDa; Observed MW: 39,37 kDa |
| Host/Isotype | Rabbit IgG |
| Storage | Store at 4°C short term. Aliquot and store at -20°C long term. Avoid freeze/thaw cycles. |
| Species Reactivity | Human,Mouse,Rat |
| Immunogen | A synthesized peptide derived from human MEK3/MEK6 |
| Formulation | Rabbit IgG in phosphate buffered saline , pH 7.4, 150mM NaCl, 0.02% sodium azide and 50% glycerol. |
| Application | |
|---|---|
| IP | 1/20 |
| WB | 1/500-1/1000 |
| IHC | 1/50-1/100 |
| ICC | 1/50-1/200 |
| FCM | 1/50-1/100 |
![]() |
Western blot analysis of MEK3/MEK6 in HeLa lysates using MEK3/MEK6 antibody. |
![]() |
Immunofluorescence analysis of MEK3/MEK6 in Hela using MEK3/MEK6 antibody. |
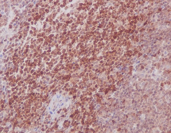
![]() |
Immunohistochemistry analysis of paraffin-embedded mouse spleen using MEK3/MEK6 antibody.High-pressure and temperature Sodium Citrate pH 6.0 was used for antigen retrieval. |
本公司的所有产品仅用于科学研究或者工业应用等非医疗目的,不可用于人类或动物的临床诊断或治疗,非药用,非食用。
暂无评论
本公司的所有产品仅用于科学研究或者工业应用等非医疗目的,不可用于人类或动物的临床诊断或治疗,非药用,非食用。
中文



发表回复