别名:MAP3K2; MAPKKK2; MEKK2; Mitogen-activated protein kinase kinase kinase 2; MAPK/ERK kinase kinase 2; MEK kinase 2; MEKK 2应用:WB,IHC,ICC,FCM,IP
反应种属:Human,Mouse,Rat
规格:50μl/100μl
| Description |
|---|
| The protein encoded by this gene is a member of serine/threonine protein kinase family. This kinase preferentially activates the kinases involved in the MAP kinase signaling pathway including MAPK7 and MAP2K4. This kinase has been shown to directly phosphorylate and activate Ikappa B kinases (IKKs), and thus plays a role in NF-kappa B signaling pathway. This kinase has also been found to bind and activate protein kinase C-related kinase 2 (PRKCL2/PRK2), which suggests its involvement in PRKCL2 regulated signaling process. |
| Specification | |
|---|---|
| Aliases | MAP3K2; MAPKKK2; MEKK2; Mitogen-activated protein kinase kinase kinase 2; MAPK/ERK kinase kinase 2; MEK kinase 2; MEKK 2 |
| Entrez GeneID | 10746 |
| Swissprot | Q9Y2U5 |
| WB Predicted band size | Calculated MW: 70 kDa; Observed MW: 70 kDa |
| Host/Isotype | Rabbit IgG |
| Storage | Store at 4°C short term. Aliquot and store at -20°C long term. Avoid freeze/thaw cycles. |
| Species Reactivity | Human,Mouse,Rat |
| Immunogen | A synthesized peptide derived from human MEKK2 |
| Formulation | Rabbit IgG in phosphate buffered saline , pH 7.4, 150mM NaCl, 0.02% sodium azide and 50% glycerol. |
| Application | |
|---|---|
| IP | 1/20 |
| WB | 1/500-1/1000 |
| IHC | 1/50-1/100 |
| ICC | 1/50-1/200 |
| FCM | 1/50-1/100 |
![]() |
Western blot analysis of MEKK2 in HeLa lysates using MEKK2 antibody. |
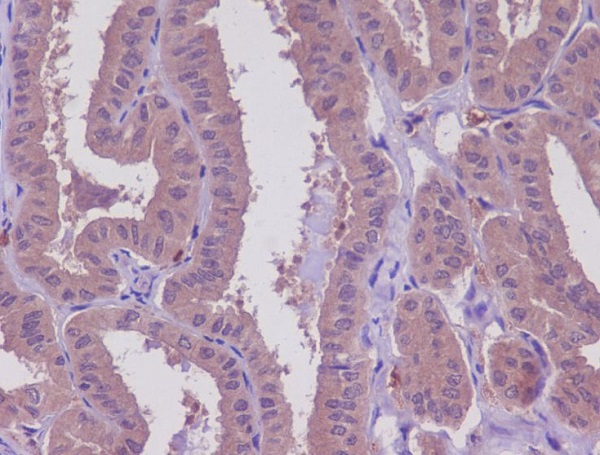
![]() |
Immunohistochemistry analysis of paraffin-embedded Human thyroid cancer using MEKK2 antibody.High-pressure and temperature Sodium Citrate pH 6.0 was used for antigen retrieval. |
本公司的所有产品仅用于科学研究或者工业应用等非医疗目的,不可用于人类或动物的临床诊断或治疗,非药用,非食用。
暂无评论
本公司的所有产品仅用于科学研究或者工业应用等非医疗目的,不可用于人类或动物的临床诊断或治疗,非药用,非食用。
中文


发表回复