别名:LDLR chaperone MESD, Mesoderm development candidate 2, Mesoderm development protein, Renal carcinoma antigen NY-REN-61, MESDC2, KIAA0081, MESD应用:WB,IHC,ICC
反应种属:Human, Mouse, Rat
规格:50μl/100μl
| Description |
|---|
| Chaperone specifically assisting the folding of beta-propeller/EGF modules within the family of low-density lipoprotein receptors (LDLRs). Acts as a modulator of the Wnt pathway through chaperoning the coreceptors of the canonical Wnt pathway, LRP5 and LRP6, to the plasma membrane. Essential for specification of embryonic polarity and mesoderm induction. |
| Specification | |
|---|---|
| Aliases | LDLR chaperone MESD, Mesoderm development candidate 2, Mesoderm development protein, Renal carcinoma antigen NY-REN-61, MESDC2, KIAA0081, MESD |
| Entrez GeneID | 23184 |
| Swissprot | Q14696 |
| WB Predicted band size | 26.1kDa |
| Host/Isotype | Rabbit IgG |
| Storage | Store at 4°C short term. Aliquot and store at -20°C long term. Avoid freeze/thaw cycles. |
| Species Reactivity | Human, Mouse, Rat |
| Immunogen | This MESDC2 antibody is generated from rabbits immunized with a KLH conjugated synthetic peptide between 206-234 amino acids from the C-terminal region of human MESDC2. |
| Formulation | Purified polyclonal antibody supplied in PBS with 0.05% sodium azide. This antibody is purified through a protein A column, followed by peptide affinity purification. |
| Application | |
|---|---|
| WB | 1/1000 |
| IHC | 1/100-1/500 |
| ICC | 1/10-1/50 |
![]() |
Western blot analysis of lysates from K562, mouse NIH/3T3 cell line (from left to right), using MESDC2 Antibody (C-term) (Cat. #P32571). P32571 was diluted at 1:1000 at each lane. A goat anti-rabbit(HRP) at 1:5000 dilution was used as the secondary antibody. Lysates at 35ug per lane. |
![]() |
Confocal immunofluorescent analysis of MESDC2 Antibody (C-term)(Cat#P32571) with 293 cell followed by Alexa Fluor® 488-conjugated goat anti-rabbit lgG (green). DAPI was used to stain the cell nuclear (blue). |
![]() |
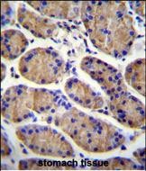
MESDC2 Antibody (C-term)(Cat. #P32571)immunohistochemistry analysis in formalin fixed and paraffin embedded human stomach tissue followed by peroxidase conjugation of the secondary antibody and DAB staining.This data demonstrates the use of MESDC2 Antibody (C-term) for immunohistochemistry. Clinical relevance has not been evaluated. |
本公司的所有产品仅用于科学研究或者工业应用等非医疗目的,不可用于人类或动物的临床诊断或治疗,非药用,非食用。
暂无评论
本公司的所有产品仅用于科学研究或者工业应用等非医疗目的,不可用于人类或动物的临床诊断或治疗,非药用,非食用。
中文



发表回复