别名:MP25; MAGP2应用:IHC
反应种属:Human
规格:50μl/100μl
| Description |
|---|
| This gene encodes a 25-kD microfibril-associated glycoprotein which is rich in serine and threonine residues. It lacks a hydrophobic carboxyl terminus and proline-, glutamine-, and tyrosine-rich regions, which are characteristics of a related 31-kDa microfibril-associated glycoprotein (MFAP2). The close similarity between these two proteins is confined to a central region of 60 aa where precise alignment of 7 cysteine residues occurs. The structural differences suggest that this encoded protein has some functions that are distinct from those of MFAP2. |
| Specification | |
|---|---|
| Aliases | MP25; MAGP2 |
| Swissprot | Q13361 |
| Host/Isotype | Rabbit IgG |
| Storage | Store at 4°C short term. Aliquot and store at -20°C long term. Avoid freeze/thaw cycles. |
| Species Reactivity | Human |
| Immunogen | Synthetic peptide of human MFAP5 |
| Formulation | pH7.4 PBS, 0.05% NaN3, 40% Glycerol |
| Application | |
|---|---|
| IHC | 1/50-1/200 |
| ELISA | 1/2000-1/5000 |
![]() |
The image is immunohistochemistry of paraffin-embedded Human liver cancer tissue using P11925(MFAP5 Antibody) at dilution 1/40. (Original magnification: ×200) |
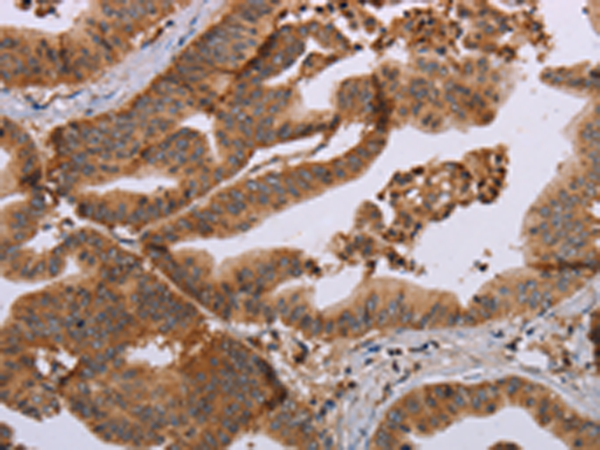
![]() |
The image is immunohistochemistry of paraffin-embedded Human gastric cancer tissue using P11925(MFAP5 Antibody) at dilution 1/40. (Original magnification: ×200) |
本公司的所有产品仅用于科学研究或者工业应用等非医疗目的,不可用于人类或动物的临床诊断或治疗,非药用,非食用。
暂无评论
本公司的所有产品仅用于科学研究或者工业应用等非医疗目的,不可用于人类或动物的临床诊断或治疗,非药用,非食用。
中文


发表回复