别名:Mitsugumin-53; TRI72; Tripartite motif containing 72; LOC493829应用:WB,IHC
反应种属:Human,Mouse,Rat
规格:50μl/100μl
| Description |
|---|
| Muscle-specific protein that plays a central role in cell membrane repair by nucleating the assembly of the repair machinery at injury sites. |
| Specification | |
|---|---|
| Aliases | Mitsugumin-53; TRI72; Tripartite motif containing 72; LOC493829 |
| Entrez GeneID | 493829 |
| Swissprot | Q6ZMU5 |
| WB Predicted band size | Calculated MW: 53 kDa; Observed MW: 53 kDa |
| Host/Isotype | Rabbit IgG |
| Storage | Store at 4°C short term. Aliquot and store at -20°C long term. Avoid freeze/thaw cycles. |
| Species Reactivity | Human,Mouse,Rat |
| Immunogen | Recombinant Protein of TRIM72 |
| Formulation | Liquid in PBS containing 50% glycerol, 0.5% BSA and 0.02% sodium azide, pH 7.3. |
| Application | |
|---|---|
| WB | 1/500-1/1000 |
| IHC | 1/50-1/100 |
![]() |
Western blot analysis of MG53 in mouse skeletal muscle lysates using MG53 antibody. |
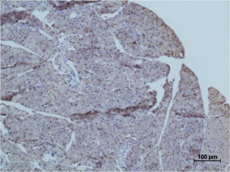
![]() |
Immunohistochemistry analysis of paraffin-embedded mouse Pancreas Tissue using MG53 antibody.High-pressure and temperature Sodium Citrate pH 6.0 was used for antigen retrieval. |
本公司的所有产品仅用于科学研究或者工业应用等非医疗目的,不可用于人类或动物的临床诊断或治疗,非药用,非食用。
暂无评论
本公司的所有产品仅用于科学研究或者工业应用等非医疗目的,不可用于人类或动物的临床诊断或治疗,非药用,非食用。
中文


发表回复