别名:Alpha-1,3-mannosyl-glycoprotein 2-beta-N-acetylglucosaminyltransferase, N-glycosyl-oligosaccharide-glycoprotein N-acetylglucosaminyltransferase I, GNT-I, GlcNAc-T I, MGAT1, GGNT1, GLCT1, GLYT1, MGAT应用:WB,IHC
反应种属:Human, Mouse
规格:50μl/100μl
| Description |
|---|
| There are believed to be over 100 different glycosyltransferases involved in the synthesis of protein-bound and lipid-bound oligosaccharides. MGAT1 (UDP-N-acetylglucosamine:alpha-3-D-mannoside beta-1,2-N-acetylglucosaminyltransferase I) is a medial-Golgi enzyme essential for the synthesis of hybrid and complex N-glycans. The protein, encoded by a single exon, shows typical features of a type II transmembrane protein. The protein is believed to be essential for normal embryogenesis. |
| Specification | |
|---|---|
| Aliases | Alpha-1,3-mannosyl-glycoprotein 2-beta-N-acetylglucosaminyltransferase, N-glycosyl-oligosaccharide-glycoprotein N-acetylglucosaminyltransferase I, GNT-I, GlcNAc-T I, MGAT1, GGNT1, GLCT1, GLYT1, MGAT |
| Entrez GeneID | 4245 |
| Swissprot | P26572 |
| WB Predicted band size | 50.9kDa |
| Host/Isotype | Rabbit IgG |
| Storage | Store at 4°C short term. Aliquot and store at -20°C long term. Avoid freeze/thaw cycles. |
| Species Reactivity | Human, Mouse |
| Immunogen | This MGAT1 antibody is generated from rabbits immunized with a KLH conjugated synthetic peptide between 16-46 amino acids from the N-terminal region of human MGAT1. |
| Formulation | Purified polyclonal antibody supplied in PBS with 0.05% sodium azide. This antibody is purified through a protein G column, eluted with high and low pH buffers and neutralized immediately, followed by dialysis against PBS. |
| Application | |
|---|---|
| WB | 1/1000 |
| IHC | 1/100-1/500 |
![]() |
The anti-MGAT1 Pab (Cat. #P30078) is used in Western blot to detect MGAT1 in mouse brain tissue lysate. |
![]() |
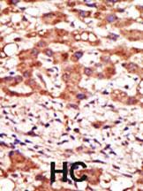
Formalin-fixed and paraffin-embedded human cancer tissue reacted with the primary antibody, which was peroxidase-conjugated to the secondary antibody, followed by AEC staining. This data demonstrates the use of this antibody for immunohistochemistry; clinical relevance has not been evaluated. BC = breast carcinoma; HC = hepatocarcinoma. |
本公司的所有产品仅用于科学研究或者工业应用等非医疗目的,不可用于人类或动物的临床诊断或治疗,非药用,非食用。
暂无评论
本公司的所有产品仅用于科学研究或者工业应用等非医疗目的,不可用于人类或动物的临床诊断或治疗,非药用,非食用。
中文


发表回复