别名:DDK1; MTDPS11; C20orf72; bA504H3.4应用:IHC
反应种属:Human
规格:50μl/100μl
| Description |
|---|
| The protein encoded by this gene is a nuclear-encoded mitochondrial protein necessary for the maintenance of mitochondrial genome synthesis. The encoded protein is a RecB-type exonuclease and primarily cleaves single-stranded DNA. Defects in this gene have been associated with mitochondrial DNA depletion syndrome-11. Three transcript variants encoding different isoforms have been found for this gene. |
| Specification | |
|---|---|
| Aliases | DDK1; MTDPS11; C20orf72; bA504H3.4 |
| Swissprot | Q9BQP7 |
| Host/Isotype | Rabbit IgG |
| Storage | Store at 4°C short term. Aliquot and store at -20°C long term. Avoid freeze/thaw cycles. |
| Species Reactivity | Human |
| Immunogen | Fusion protein of human MGME1 |
| Formulation | pH7.4 PBS, 0.05% NaN3, 40% Glycerol |
| Application | |
|---|---|
| IHC | 1/50-1/100 |
| ELISA | 1/5000-1/10000 |
![]() |
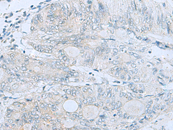
The image is immunohistochemistry of paraffin-embedded Human thyroid cancer tissue using P03383(MGME1 Antibody) at dilution 1/50. (Original magnification: ×200) |
![]() |
The image is immunohistochemistry of paraffin-embedded Human colorectal cancer tissue using P03383(MGME1 Antibody) at dilution 1/50. (Original magnification: ×200) |
本公司的所有产品仅用于科学研究或者工业应用等非医疗目的,不可用于人类或动物的临床诊断或治疗,非药用,非食用。
暂无评论
本公司的所有产品仅用于科学研究或者工业应用等非医疗目的,不可用于人类或动物的临床诊断或治疗,非药用,非食用。
中文


发表回复