别名:Melanoma inhibitory activity protein 2应用:WB
反应种属:Human
规格:50μl/100μl
| Description |
|---|
| Plays a role in the transport of cargos that are too large to fit into COPII-coated vesicles and require specific mechanisms to be incorporated into membrane-bound carriers and exported from the endoplasmic reticulum. |
| Specification | |
|---|---|
| Aliases | Melanoma inhibitory activity protein 2 |
| Entrez GeneID | 4253 |
| Swissprot | Q96PC5 |
| WB Predicted band size | Calculated MW: 160 kDa; Observed MW: 65 kDa |
| Host/Isotype | Rabbit IgG |
| Storage | Store at 4°C short term. Aliquot and store at -20°C long term. Avoid freeze/thaw cycles. |
| Species Reactivity | Human |
| Immunogen | Synthesized peptide derived from MIA2 at AA range: 361-410 |
| Formulation | Liquid in PBS containing 50% glycerol, 0.5% BSA and 0.02% sodium azide, pH 7.3. |
| Application | |
|---|---|
| WB | 1/500-1/1000 |
| ELISA | 1/10000 |
![]() |
Western blot analysis of MIA2 in HEPG2 lysates using MIA2 antibody. |
![]() |
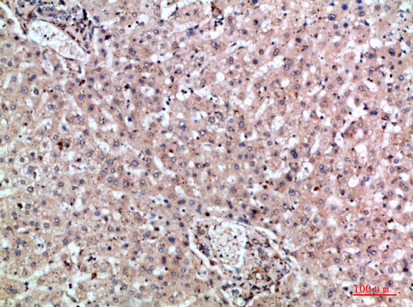
Immunohistochemistry analysis of paraffin-embedded Human liver using MIA2 antibody.High-pressure and temperature Sodium Citrate pH 6.0 was used for antigen retrieval. |
![]() |
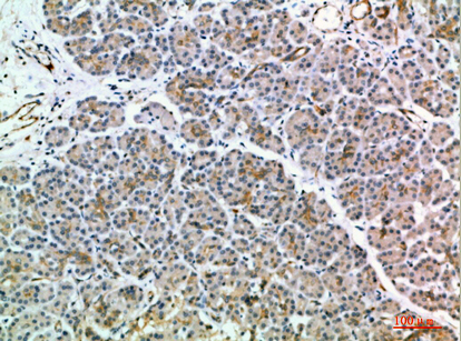
Immunohistochemistry analysis of paraffin-embedded Human pancreas using MIA2 antibody. High-pressure and temperature Sodium Citrate pH 6.0 was used for antigen retrieval. |
![]() |
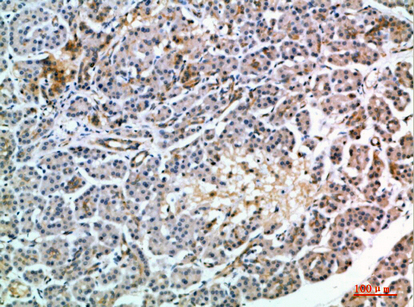
Immunohistochemistry analysis of paraffin-embedded Human pancreas using MIA2 antibody.High-pressure and temperature Sodium Citrate pH 6.0 was used for antigen retrieval. |
本公司的所有产品仅用于科学研究或者工业应用等非医疗目的,不可用于人类或动物的临床诊断或治疗,非药用,非食用。
暂无评论
本公司的所有产品仅用于科学研究或者工业应用等非医疗目的,不可用于人类或动物的临床诊断或治疗,非药用,非食用。
中文




发表回复