别名:Mitochondrial intermembrane space import and assembly protein 40, Coiled-coil-helix-coiled-coil-helix domain-containing protein 4, CHCHD4, MIA40应用:WB,IHC
反应种属:Human
规格:50μl/100μl
| Description |
|---|
| CHCHD4, a component of human mitochondria, belongs to a protein family whose members share 6 highly conserved cysteine residues constituting a -CXC-CX(9)C-CX(9)C- motif in the C terminus (Hofmann et al., 2005 [PubMed 16185709]). |
| Specification | |
|---|---|
| Aliases | Mitochondrial intermembrane space import and assembly protein 40, Coiled-coil-helix-coiled-coil-helix domain-containing protein 4, CHCHD4, MIA40 |
| Entrez GeneID | 131474 |
| Swissprot | Q8N4Q1 |
| WB Predicted band size | 16.0kDa |
| Host/Isotype | Rabbit IgG |
| Storage | Store at 4°C short term. Aliquot and store at -20°C long term. Avoid freeze/thaw cycles. |
| Species Reactivity | Human |
| Immunogen | This MIA40 antibody is generated from rabbits immunized with a KLH conjugated synthetic peptide between 101-129 amino acids from the C-terminal region of human MIA40. |
| Formulation | Purified polyclonal antibody supplied in PBS with 0.05% sodium azide. This antibody is purified through a protein A column, followed by peptide affinity purification. |
| Application | |
|---|---|
| WB | 1/1000 |
| IHC | 1/100-1/500 |
![]() |
MIA40 Antibody (C-term) (Cat. #P30970) western blot analysis in MDA-MB231 cell line lysates (35ug/lane).This demonstrates the MIA40 antibody detected the MIA40 protein (arrow). |
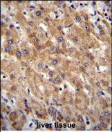
![]() |
MIA40 Antibody (C-term) (Cat. #P30970)immunohistochemistry analysis in formalin fixed and paraffin embedded human liver tissue followed by peroxidase conjugation of the secondary antibody and DAB staining.This data demonstrates the use of MIA40 Antibody (C-term) for immunohistochemistry. Clinical relevance has not been evaluated. |
本公司的所有产品仅用于科学研究或者工业应用等非医疗目的,不可用于人类或动物的临床诊断或治疗,非药用,非食用。
暂无评论
本公司的所有产品仅用于科学研究或者工业应用等非医疗目的,不可用于人类或动物的临床诊断或治疗,非药用,非食用。
中文


发表回复