别名:Mi-er2; KIAA1193应用:WB,IHC
反应种属:Human
规格:50μl/100μl
| Description |
|---|
| MIER2(mesoderm induction early response 1, family member 2), also known as Mi-er2 or KIAA1193, is a protein that in humans is encoded by the MIER2 gene. It is a transcriptional repressor. |
| Specification | |
|---|---|
| Aliases | Mi-er2; KIAA1193 |
| Entrez GeneID | 54531; |
| Swissprot | Q8N344 |
| WB Predicted band size | 60kDa |
| Storage | Store at 4°C short term. Aliquot and store at -20°C long term. Avoid freeze/thaw cycles. |
| Species Reactivity | Human |
| Immunogen | Fusion protein corresponding to a region derived from internal residues of human mesoderm induction early response 1, family member 2 |
| Formulation | Rabbit IgG in pH7.4 PBS, 0.05% NaN3, 40% Glycerol. |
| Application | |
|---|---|
| WB | 1/200-1/1000 |
| IHC | 1/100-1/300 |
![]() |
Gel: 6%SDS-PAGE Lysate: 40ug Hela cell Primary antibody: 1/550 dilution Secondary antibody dilution: 1/8000 Exposure time: 10 minutes |
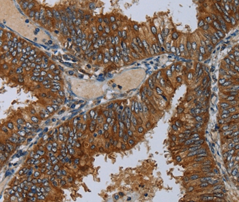
![]() |
Immunohistochemical analysis of paraffin-embedded Human colon cancer tissue using P42831 at dilution 1/50. |
本公司的所有产品仅用于科学研究或者工业应用等非医疗目的,不可用于人类或动物的临床诊断或治疗,非药用,非食用。
暂无评论
本公司的所有产品仅用于科学研究或者工业应用等非医疗目的,不可用于人类或动物的临床诊断或治疗,非药用,非食用。
中文


发表回复