别名:应用:WB,IHC
反应种属:Human
规格:50μl/100μl
| Description |
|---|
| MIG-7 protein inhibited protein phosphatase 2A to sustain Akt/GSK-3β phosphorylation and cancer-cell migration/invasion. Cancer cells overexpressing MIG-7 exhibited increased expression of ZEB-1 and Twist in parallel with epithelial-mesenchymal transition, metastasis and cancer lethality. MIG-7 protein level positively correlated with advanced stages of human lung cancers. |
| Specification | |
|---|---|
| Swissprot | Q1AHR6 |
| WB Predicted band size | 23 kDa |
| Host/Isotype | Rabbit IgG |
| Storage | Store at 4°C short term. Aliquot and store at -20°C long term. Avoid freeze/thaw cycles. |
| Species Reactivity | Human |
| Immunogen | Synthetic peptide of human MIG7 |
| Formulation | pH7.4 PBS, 0.05% NaN3, 40% Glycerol |
| Application | |
|---|---|
| WB | 1/200-1/1000 |
| IHC | 1/25-1/100 |
| ELISA | 1/1000-1/2000 |
![]() |
Gel: 12%SDS-PAGE, Lysate: 40 μg, Lane 1-2: Human placenta tissue, Human breast infiltrative duct tissue, Primary antibody: P11945(MIG7 Antibody) at dilution 1/200, Secondary antibody: Goat anti rabbit IgG at 1/8000 dilution, Exposure time: 15 seconds |
![]() |
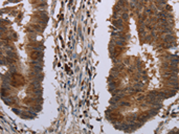
The image is immunohistochemistry of paraffin-embedded Human colon cancer tissue using P11945(MIG7 Antibody) at dilution 1/20. (Original magnification: ×200) |
![]() |
The image is immunohistochemistry of paraffin-embedded Human brain tissue using P11945(MIG7 Antibody) at dilution 1/20. (Original magnification: ×200) |
本公司的所有产品仅用于科学研究或者工业应用等非医疗目的,不可用于人类或动物的临床诊断或治疗,非药用,非食用。
暂无评论
本公司的所有产品仅用于科学研究或者工业应用等非医疗目的,不可用于人类或动物的临床诊断或治疗,非药用,非食用。
中文



发表回复