别名:MICAL-like protein 2, Junctional Rab13-binding protein, Molecule interacting with CasL-like 2, MICAL-L2, MICALL2, JRAB应用:WB,IHC,FCM
反应种属:Human, Mouse, Rat
规格:50μl/100μl
| Description |
|---|
| MILK2 may be a cytoskeletal regulator. |
| Specification | |
|---|---|
| Aliases | MICAL-like protein 2, Junctional Rab13-binding protein, Molecule interacting with CasL-like 2, MICAL-L2, MICALL2, JRAB |
| Entrez GeneID | 79778 |
| Swissprot | Q8IY33 |
| WB Predicted band size | 97.5kDa |
| Host/Isotype | Rabbit IgG |
| Storage | Store at 4°C short term. Aliquot and store at -20°C long term. Avoid freeze/thaw cycles. |
| Species Reactivity | Human, Mouse, Rat |
| Immunogen | This MILK2 antibody is generated from rabbits immunized with a KLH conjugated synthetic peptide between 841-870 amino acids from the C-terminal region of human MILK2. |
| Formulation | Purified polyclonal antibody supplied in PBS with 0.05% sodium azide. This antibody is purified through a protein A column, followed by peptide affinity purification. |
| Application | |
|---|---|
| WB | 1/1000 |
| IHC | 1/100-1/500 |
| FCM | 1/10-1/50 |
![]() |
MILK2 Antibody (C-term) (Cat. #P30577) western blot analysis in HL-60,CEM cell line lysates (35ug/lane).This demonstrates the MILK2 antibody detected the MILK2 protein (arrow). |
![]() |
MILK2 Antibody (C-term) (Cat. #P30577) flow cytometric analysis of HL-60 cells (right histogram) compared to a negative control cell (left histogram).FITC-conjugated goat-anti-rabbit secondary antibodies were used for the analysis. |
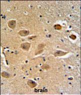
![]() |
MILK2 Antibody (C-term) (Cat. #P30577) IHC analysis in formalin fixed and paraffin embedded human brain tissue followed by peroxidase conjugation of the secondary antibody and DAB staining. This data demonstrates the use of the MILK2 Antibody (C-term) for immunohistochemistry. Clinical relevance has not been evaluated. |
本公司的所有产品仅用于科学研究或者工业应用等非医疗目的,不可用于人类或动物的临床诊断或治疗,非药用,非食用。
暂无评论
本公司的所有产品仅用于科学研究或者工业应用等非医疗目的,不可用于人类或动物的临床诊断或治疗,非药用,非食用。
中文



发表回复