别名:Mitochondrial intermediate peptidase, MIP, MIPEP, MIP应用:WB,IHC
反应种属:Human
规格:50μl/100μl
| Description |
|---|
| MIPEP performs the final step in processing a specific class of nuclear-encoded proteins targeted to the mitochondrial matrix or inner membrane. This protein is primarily involved in the maturation of oxidative phosphorylation (OXPHOS)-related proteins. It may contribute to the functional effects of frataxin deficiency and the clinical manifestations of Friedreich ataxia. |
| Specification | |
|---|---|
| Aliases | Mitochondrial intermediate peptidase, MIP, MIPEP, MIP |
| Entrez GeneID | 4285 |
| Swissprot | Q99797 |
| WB Predicted band size | 80.6kDa |
| Host/Isotype | Rabbit IgG |
| Storage | Store at 4°C short term. Aliquot and store at -20°C long term. Avoid freeze/thaw cycles. |
| Species Reactivity | Human |
| Immunogen | This MIPEP antibody is generated from rabbits immunized with a KLH conjugated synthetic peptide between 307-336 amino acids from the Central region of human MIPEP. |
| Formulation | Purified polyclonal antibody supplied in PBS with 0.05% sodium azide. This antibody is prepared by Saturated Ammonium Sulfate (SAS) precipitation followed by dialysis against PBS. |
| Application | |
|---|---|
| WB | 1/1000 |
| IHC | 1/100-1/500 |
![]() |
Western blot analysis of anti-MIPEP Antibody (Center) (Cat.#P30316) in 293 cell line lysates (35ug/lane). MIPEP (arrow) was detected using the purified Pab. |
![]() |
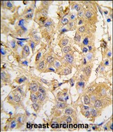
Formalin-fixed and paraffin-embedded human breast carcinoma tissue reacted with MIPEP antibody (Center), which was peroxidase-conjugated to the secondary antibody, followed by DAB staining. This data demonstrates the use of this antibody for immunohistochemistry; clinical relevance has not been evaluated. |
本公司的所有产品仅用于科学研究或者工业应用等非医疗目的,不可用于人类或动物的临床诊断或治疗,非药用,非食用。
暂无评论
本公司的所有产品仅用于科学研究或者工业应用等非医疗目的,不可用于人类或动物的临床诊断或治疗,非药用,非食用。
中文


发表回复