别名:Myosin light chain kinase, smooth muscle, MLCK, smMLCK, Kinase-related protein, KRP, Telokin, Myosin light chain kinase, smooth muscle, deglutamylated form, MYLK, MLCK, MLCK1, MYLK1应用:WB,IHC
反应种属:Human, Mouse, Rat
规格:50μl/100μl
| Description |
|---|
| MLCK, a member of the Ser/Thr protein kinase family, is a calcium/calmodulin-dependent enzyme responsible for smooth muscle contraction via phosphorylation of a specific serine in the N-terminus of myosin light chains (MLC), an event that facilitates myosin interaction with actin filaments. It is a central determinant in the development of vascular permeability and tissue edema formation. In the nervous system it has been shown to control the growth initiation of astrocytic processes in culture and to participate in transmitter release at synapses formed between cultured sympathetic ganglion cells. MLCK acts as a critical participant in signaling sequences that result in fibroblast apoptosis. Smooth muscle and non-muscle isozymes are expressed in a wide variety of adult and fetal tissues and in cultured endothelium with qualitative expression appearing to be neither tissue- nor development-specific. Non-muscle isoform 2 is the dominant splice variant expressed in various tissues. The Telokin isoform, which binds calmodulin, has been found in a wide variety of adult and fetal tissues. MLCK is probably down-regulated by phosphorylation. The protein contains 1 fibronectin type III domain and 9 immunoglobulin-like C2-type domains. |
| Specification | |
|---|---|
| Aliases | Myosin light chain kinase, smooth muscle, MLCK, smMLCK, Kinase-related protein, KRP, Telokin, Myosin light chain kinase, smooth muscle, deglutamylated form, MYLK, MLCK, MLCK1, MYLK1 |
| Entrez GeneID | 4638 |
| Swissprot | Q15746 |
| WB Predicted band size | 210.7kDa |
| Host/Isotype | Rabbit IgG |
| Storage | Store at 4°C short term. Aliquot and store at -20°C long term. Avoid freeze/thaw cycles. |
| Species Reactivity | Human, Mouse, Rat |
| Immunogen | This MLCK antibody is generated from rabbits immunized with a KLH conjugated synthetic peptide between 923-953 amino acids from the N-terminal region of human MLCK. |
| Formulation | Purified polyclonal antibody supplied in PBS with 0.05% sodium azide. This antibody is prepared by Saturated Ammonium Sulfate (SAS) precipitation followed by dialysis against PBS. |
| Application | |
|---|---|
| WB | 1/1000 |
| IHC | 1/100-1/500 |
![]() |
Western blot analysis of lysate from mouse bladder tissue lysate, using MLCKlong Antibody (M1)(Cat. #P32748). P32748 was diluted at 1:1000. A goat anti-rabbit IgG H&L(HRP) at 1:10000 dilution was used as the secondary antibody. Lysate at 35ug. |
![]() |
MLCK Antibody (M1) (Cat. #P32748) western blot analysis in SK-BR-3 cell line lysates (35ug/lane).This demonstrates the MLCK antibody detected the MLCK protein (arrow). |
![]() |
Western blot analysis of anti-MLCK-long Pab (Cat. #P32748) in mouse brain tissue lysate. MLCK-long (Arrow) was detected using purified Pab. Secondary HRP-anti-rabbit was used for signal visualization with chemiluminescence. |
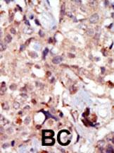
![]() |
Formalin-fixed and paraffin-embedded human cancer tissue reacted with the primary antibody, which was peroxidase-conjugated to the secondary antibody, followed by DAB staining. This data demonstrates the use of this antibody for immunohistochemistry; clinical relevance has not been evaluated. BC = breast carcinoma; HC = hepatocarcinoma. |
本公司的所有产品仅用于科学研究或者工业应用等非医疗目的,不可用于人类或动物的临床诊断或治疗,非药用,非食用。
暂无评论
本公司的所有产品仅用于科学研究或者工业应用等非医疗目的,不可用于人类或动物的临床诊断或治疗,非药用,非食用。
中文




发表回复