别名:AI2A2; MMP-20应用:WB,IHC
反应种属:Human, Mouse
规格:50μl/100μl
| Description |
|---|
| Proteins of the matrix metalloproteinase (MMP) family are involved in the breakdown of extracellular matrix in normal physiological processes, such as embryonic development, reproduction, and tissue remodeling, as well as in disease processes, such as arthritis and metastasis. Most MMP’s are secreted as inactive proproteins which are activated when cleaved by extracellular proteinases. The protein encoded by this gene degrades amelogenin, the major protein component of dental enamel matrix, and thus thought to play a role in tooth enamel formation. A mutation in this gene, which alters the normal splice pattern and results in premature termination of the encoded protein, has been associated with amelogenesis imperfecta. This gene is part of a cluster of MMP genes located on chromosome 11q22.3. |
| Specification | |
|---|---|
| Aliases | AI2A2; MMP-20 |
| Swissprot | O60882 |
| WB Predicted band size | 54 kDa |
| Host/Isotype | Rabbit IgG |
| Storage | Store at 4°C short term. Aliquot and store at -20°C long term. Avoid freeze/thaw cycles. |
| Species Reactivity | Human, Mouse |
| Immunogen | Synthetic peptide of human MMP20 |
| Formulation | pH7.4 PBS, 0.05% NaN3, 40% Glycerol |
| Application | |
|---|---|
| WB | 1/200-1/1000 |
| IHC | 1/50-1/200 |
| ELISA | 1/1000-1/2000 |
![]() |
Gel: 8%SDS-PAGE, Lysate: 40 μg, Lane 1-2: Mouse brain tissue, 823 cells, Primary antibody: P11950(MMP20 Antibody) at dilution 1/250, Secondary antibody: Goat anti rabbit IgG at 1/8000 dilution, Exposure time: 20 seconds |
![]() |
The image is immunohistochemistry of paraffin-embedded Human ovarian cancer tissue using P11950(MMP20 Antibody) at dilution 1/30. (Original magnification: ×200) |
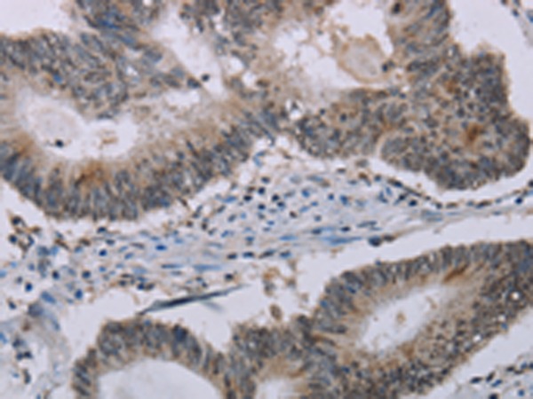
![]() |
The image is immunohistochemistry of paraffin-embedded Human colon cancer tissue using P11950(MMP20 Antibody) at dilution 1/30. (Original magnification: ×200) |
本公司的所有产品仅用于科学研究或者工业应用等非医疗目的,不可用于人类或动物的临床诊断或治疗,非药用,非食用。
暂无评论
本公司的所有产品仅用于科学研究或者工业应用等非医疗目的,不可用于人类或动物的临床诊断或治疗,非药用,非食用。
中文



发表回复