别名:HCCA2应用:WB,IHC
反应种属:Human, Mouse, Rat
规格:50μl/100μl
| Description |
|---|
| MOB2 (Mps one binder kinase activator-like 2), also known as HCCA2 (Hepatocellular carcinoma-associated gene 2), is a 467 amino acid protein that belongs to the MOB1/phocein family. MOB2 is expressed in lung, spleen, brain, and fetal liver. It is highly expressed in hepatocellular carcinoma. MOB2 is localized in the perinuclear region of the cytoplasm in liver cancer tissues and colocalizes with MAD2L2 in the nucleus of Hela cells. MOB2 is characterized by two N-glycosylation sites, six N-myristolylation sites, two Src homology 3 (SH3), and several phosphorylation motifs which indicate that this protein may play a role in an intracellular signal transduction cascade. MOB2 binds to and regulates the autophosphorylation of the related human serine/threonine kinase 38 (NDR1) and serine/threonine kinase 38L(NDR2). It has been shown that MOB2 plays a critical role in cell cycle regulation. Overexpression of the protein during the G0/G1 phase inhibits cell proliferation causing cell cycle arrest. Stimulates the autophosphorylation and kinase activity of STK38 and STK38L. |
| Specification | |
|---|---|
| Aliases | HCCA2 |
| Swissprot | Q70IA6 |
| WB Predicted band size | 27 kDa |
| Host/Isotype | Rabbit IgG |
| Storage | Store at 4°C short term. Aliquot and store at -20°C long term. Avoid freeze/thaw cycles. |
| Species Reactivity | Human, Mouse, Rat |
| Immunogen | Synthetic peptide of human MOB2 |
| Formulation | pH7.4 PBS, 0.05% NaN3, 40% Glycerol |
| Application | |
|---|---|
| WB | 1/200-1/1000 |
| IHC | 1/20-1/100 |
| ELISA | 1/5000-1/10000 |
![]() |
Gel: 8%SDS-PAGE, Lysate: 40 μg, Lane 1-2: Mouse liver tissue and Rat liver tissue lysates, Primary antibody: P06671(MOB2 Antibody) at dilution 1/400, Secondary antibody: Goat anti rabbit IgG at 1/5000 dilution, Exposure time: 20 seconds |
![]() |
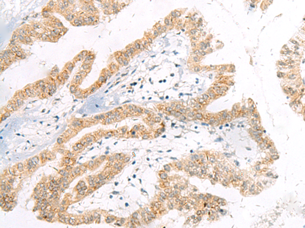
The image is immunohistochemistry of paraffin-embedded Human liver cancer tissue using P06671(MOB2 Antibody) at dilution 1/20. (Original magnification: ×200) |
![]() |
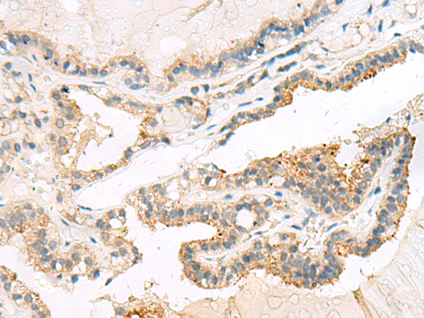
The image is immunohistochemistry of paraffin-embedded Human thyroid cancer tissue using P06671(MOB2 Antibody) at dilution 1/20. (Original magnification: ×200) |
本公司的所有产品仅用于科学研究或者工业应用等非医疗目的,不可用于人类或动物的临床诊断或治疗,非药用,非食用。
暂无评论
本公司的所有产品仅用于科学研究或者工业应用等非医疗目的,不可用于人类或动物的临床诊断或治疗,非药用,非食用。
中文



发表回复