别名:MOB3A; MOBKL2A; MOB kinase activator 3A; MOB-LAK; Mob1 homolog 2A; Mps one binder kinase activator-like 2A; MOB3B; MOBKL2B; MOB kinase activator 3B; Mob1 homolog 2b; Mps one binder kinase activator-like 2B应用:WB,IHC
反应种属:Human,Mouse
规格:50μl/100μl
| Description |
|---|
| May regulate the activity of kinases. |
| Specification | |
|---|---|
| Aliases | MOB3A; MOBKL2A; MOB kinase activator 3A; MOB-LAK; Mob1 homolog 2A; Mps one binder kinase activator-like 2A; MOB3B; MOBKL2B; MOB kinase activator 3B; Mob1 homolog 2b; Mps one binder kinase activator-like 2B |
| Entrez GeneID | 126308 |
| Swissprot | Q96BX8 |
| WB Predicted band size | Calculated MW: 25 kDa; Observed MW: 25 kDa |
| Host/Isotype | Rabbit IgG |
| Storage | Store at 4°C short term. Aliquot and store at -20°C long term. Avoid freeze/thaw cycles. |
| Species Reactivity | Human,Mouse |
| Immunogen | Synthesized peptide derived from Mob3A/B . at AA range: 1-80 |
| Formulation | Liquid in PBS containing 50% glycerol, 0.5% BSA and 0.02% sodium azide, pH 7.3. |
| Application | |
|---|---|
| WB | 1/500-1/1000 |
| IHC | 1/50-1/100 |
| ELISA | 1/10000 |
![]() |
Western blot analysis of MOB3A/B in 3T3 lysates using MOB3A/B antibody. |
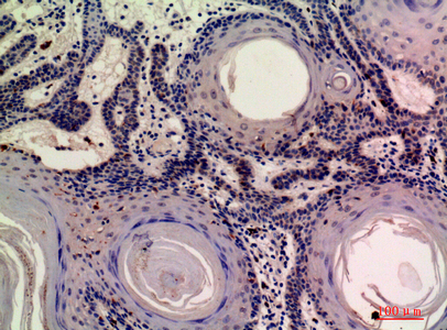
![]() |
Immunohistochemistry analysis of paraffin-embedded Human skin using MOB3A/B antibody.High-pressure and temperature Sodium Citrate pH 6.0 was used for antigen retrieval. |
本公司的所有产品仅用于科学研究或者工业应用等非医疗目的,不可用于人类或动物的临床诊断或治疗,非药用,非食用。
暂无评论
本公司的所有产品仅用于科学研究或者工业应用等非医疗目的,不可用于人类或动物的临床诊断或治疗,非药用,非食用。
中文


发表回复