别名:DER7; GCS1; CDG2B; CWH41应用:IHC
反应种属:Human
规格:50μl/100μl
| Description |
|---|
| This gene encodes the first enzyme in the N-linked oligosaccharide processing pathway. The enzyme cleaves the distal alpha-1,2-linked glucose residue from the Glc(3)-Man(9)-GlcNAc(2) oligosaccharide precursor. This protein is located in the lumen of the endoplasmic reticulum. Defects in this gene are a cause of type IIb congenital disorder of glycosylation (CDGIIb). Two transcript variants encoding different isoforms have been found for this gene. |
| Specification | |
|---|---|
| Aliases | DER7; GCS1; CDG2B; CWH41 |
| Swissprot | Q13724 |
| Host/Isotype | Rabbit IgG |
| Storage | Store at 4°C short term. Aliquot and store at -20°C long term. Avoid freeze/thaw cycles. |
| Species Reactivity | Human |
| Immunogen | Synthetic peptide of human MOGS |
| Formulation | pH7.4 PBS, 0.05% NaN3, 40% Glycerol |
| Application | |
|---|---|
| IHC | 1/50-1/200 |
| ELISA | 1/5000-1/10000 |
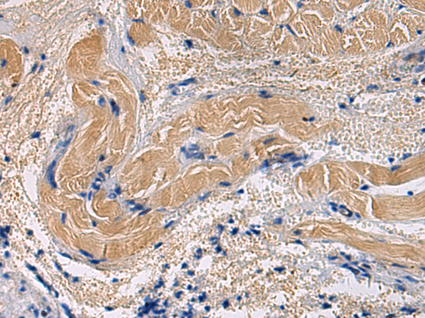
![]() |
The image is immunohistochemistry of paraffin-embedded Human esophagus cancer using P13455(MOGS Antibody) at dilution 1/40. (Original magnification: ×200) |
![]() |
The image is immunohistochemistry of paraffin-embedded Human tonsil using P13455(MOGS Antibody) at dilution 1/40. (Original magnification: ×200) |
本公司的所有产品仅用于科学研究或者工业应用等非医疗目的,不可用于人类或动物的临床诊断或治疗,非药用,非食用。
暂无评论
本公司的所有产品仅用于科学研究或者工业应用等非医疗目的,不可用于人类或动物的临床诊断或治疗,非药用,非食用。
中文


发表回复